
微信扫一扫
关注公众号
产品分类
- 酶及底物 (524)
- 免疫学 (2665)
- 标准品/对照品 (131)
- 生物制药与疫苗 (384)
- 分离纯化 (37)
- 生化试剂 (28758)
- 分子生物学 (21)
- WAKO (13617)
- Jackson ImmunoResearch (2012)
- Ludger 糖链分析 (87)
- Lumiprobe活性染料 (3)
- abcam (39111)
- Merck-Sigma (44529)
- MP Bio (11015)
- 试剂 (9728)
- 健康原料 (24)
- 新型材料 (345)
- 仪器分析 (1025)
- 合作品牌 (45348)
- Aalto
- AAT Bioquest
- AbD
- Acros
- Active Motif
- Advanced Targeting Systems
- Ambion
- AnaSpec
- AssayDesign
- Avanti
- Bangs Laboratories
- BioPorto
- BioSource
- bioworld
- cayman
- Chemicon
- Clontech
- CST
- DiFco
- Epigentek
- hampton
- Himedia
- Hyclone
- ldmsapp
- Innova Biosciences
- Invent
- J.T.BAKER
- KALEN
- KPL
- lifespan
- MRC
- Phytotech
- Pierce
- Prozyme
- Qiagen
- R&D
- Roche
- Santa Cruz
- Serotec
- Vector
- Worthington
- 其他分类 (5)
服务保证
西宝风采
公司新闻
胰蛋白酶在生物技术产业中的应用全景图
发布时间:2026-01-22 09:15 | 点击次数:34
胰蛋白酶(Trypsin)作为一类具有高度底物特异性的丝氨酸蛋白酶,被誉为生命科学基础研究及生物医药产业中的“基石工具酶”。其独特的催化机制使其能够精准识别并切割多肽链中精氨酸(Arg)和赖氨酸(Lys)残基羧基端的肽键,这种高效且特异的酶切能力使其应用极为广泛。在生物制药工业中,胰蛋白酶更是不可或缺的工艺酶,深度参与抗体的质量控制(如肽图分析)、重组蛋白疫苗的制备、以及细胞治疗产品(如CAR-T)的生产流程。在基础科研领域,胰蛋白酶不仅是蛋白质组学中“自下而上”策略的核心酶,用于将复杂蛋白样品酶解为适合质谱分析的多肽片段,还广泛应用于细胞培养中的细胞传代与消化。

西宝生物作为生命科学试剂与技术服务供应商,依托其成熟的酶工程与蛋白质技术平台,在胰蛋白酶产品的研发与应用方面构建了核心竞争力。该平台聚焦于高纯度、高活性及高稳定性的胰蛋白酶制备工艺,通过基因工程重组技术、先进的层析纯化体系以及严格的质量控制标准,成功推出了系列化的胰蛋白酶产品。
一、产品核心特性
产品为毕赤酵母表达的重组猪胰蛋白酶,在符合 GMP 法规的环境下生产,来源于微生物,不含动物源成分,无动物源性病毒污染(如猪流感病毒、猪细小病毒等),天然缺乏糜蛋白酶活性,其活性受丝氨酸蛋白酶抑制剂(如 PMSF 和 TLCK 等)的抑制。
二、多元应用场景:赋能生物科技全产业链
胰蛋白酶凭借 “精准酶切” 与 “温和操控” 的双重特性,能够完美适配不同应用场景的严苛需求。
2.1 生物制药生产:保障高效与合规的核心工具
在抗体药物(mAbs)生产领域,该酶在 CHO、HEK293 等贴壁细胞的收获环节表现卓越。它能温和解离细胞,显著提升细胞回收率,同时尽可能降低对细胞的损伤,保持产物活性。此外,作为蛋白酶切工具,它可用于去除融合标签,且其活性可被苯甲脒完全抑制,这一特性极大地方便了下游纯化控制,确保 SEC-HPLC 分析无杂蛋白干扰。
在疫苗生产中,该酶适用于流感疫苗、HPV 疫苗及腺病毒载体疫苗等的细胞消化流程。其无动物源成分的特性符合疫苗生产的严格法规要求。应用案例显示,使用重组胰蛋白酶后,细胞活率可保持在 95% 以上,病毒滴度的批次间一致性提升约 15%,为工艺放大提供了有力支持。
在蛋白药物质量控制与胰岛素生产方面,该酶在肽图分析中通过特异性水解产生清晰且可重复的肽段图谱,是药物身份鉴别和杂质分析的关键工具。在门冬胰岛素、甘精胰岛素等类似物的工业化生产中,它能精准切割前体蛋白为活性胰岛素分子,从而保证产品的结构完整性与生物活性。
2.2 细胞治疗与再生医学:维持细胞活性的关键原料
针对间充质干细胞、诱导多能干细胞及 CAR-T 前体细胞等敏感细胞的解离与传代,重组胰蛋白酶展现出独特优势。其低内毒素和高特异性切割能力,能够有效减少细胞膜损伤,维持细胞高存活率(经流式验证 >95%)及多能性标志物的表达。某 CAR-T 企业的应用案例表明,使用该产品后,细胞回收率提升了 12%,工艺放大失败率降至 2% 以下。相比传统胶原酶,它不仅缩短了 50% 的消化时间,且无血清配方的兼容性使其能完美适配多种培养体系。
2.3 生命科学研究与创新应用
在细胞生物学研究中,该酶已成为实验室贴壁细胞传代的 “金标准”。其高纯度特性降低了细胞毒性,支持原代细胞、神经元等娇贵细胞的长期培养,并有效延长了消化操作的安全窗口。
在生物材料与组织工程领域,该酶用于胶原蛋白、明胶等生物材料的酶法提取。它能精准去除端肽以降低免疫原性,同时保留关键的三螺旋结构,从而优化材料的安全性与理化稳定性。此外,它还广泛应用于类器官培养中的基质降解,以及智能水凝胶的开发等前沿创新场景。
三、实验方案:适配核心应用场景
3.1 贴壁细胞消化(CHO 细胞 / 干细胞收获)
准备工作需要将胰蛋白酶冻干粉用无钙镁 PBS 溶解,配制终浓度为 0.025%-0.25%(重组产品推荐 0.05%-0.25%)的工作液,并可根据需要加入 0.02% EDTA,随后将工作液预热至 37°C。
样本处理阶段应先弃去细胞培养瓶或反应器中的上清液,再用无钙镁 PBS 轻轻清洗细胞层,以去除可能抑制酶活性的残留血清。
消化孵育时加入适量工作液,轻轻摇晃使酶液均匀覆盖所有细胞表面,随后在 37°C 条件下孵育 2-5 分钟,并在期间通过显微镜观察细胞状态。
在观察到细胞变圆并开始脱落后立即进行,需加入含血清的培养基或大豆胰蛋白酶抑制剂终止反应,再轻柔吹打制成单细胞悬液,最后以 1200 rpm 离心 5 分钟(或 1000 rpm 离心 5 分钟)收集细胞,用于后续传代或工艺步骤。
3.2 蛋白质酶解(质谱分析前处理)
复溶储存时,需使用 50mM 乙酸将冻干粉配制成 1mg/mL 的储存液,建议分装后置于 -20°C 保存,以避免反复冻融导致酶活下降。
底物准备阶段,应将还原烷基化后的蛋白质溶解于 50mM NH?HCO?缓冲液(pH≈8.0)中,并将浓度调整为 1mg/mL 备用。
酶切反应可按酶:底物 = 1:50(质量比)的比例加入胰蛋白酶工作液,随后在 37°C 条件下孵育 4-16 小时。
终止与检测步骤中,可加入甲酸至终浓度 0.1%-1% 以终止反应,水解产物经脱盐处理后即可进行 LC-MS/MS 分析。
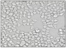
四、验证实验


图例解释:正常培养的HEK293细胞,分别用胰蛋白酶消化(货号DCE0060R),从左到右浓度为0.025m/mL、0.05mg/mL,37℃消化270s。观察细胞消化状态。

图例解释:细胞密度:6.78 X 105 Cells/ml,存活率:93.83%。(验证货号:DCE0060S)
西宝提供胰蛋白酶列表
|
品牌
|
货号
|
产品名称
|
浓度
|
规格
|
|
Seebio
|
DCE0060S
|
重组胰蛋白酶 LS(细胞消化用)
|
0.025mg/ml
|
40ml
|
|
Seebio
|
DCE0060T
|
重组胰蛋白酶(质谱级)冻干/非冻干
|
|
100ug
|
|
Seebio
|
DCE0060P
|
胰蛋白酶(牛胰) 1:2500
|
精制级,1:2500, ≥2500 USP U/mg
|
5g
|
|
Seebio
|
DCE0060O
|
胰蛋白酶(猪胰)1:250
|
BR,1:250
|
5g/ 50g
|
|
Seebio
|
DCE0060N
|
胰蛋白酶(猪胰)1:2500
|
≥2500U/mg
|
5g
|
|
Seebio
|
DCE0060C
|
胰蛋白酶 1:300
|
|
10g
|
|
Seebio
|
DCE0060A
|
胰蛋白酶 1:250
|
250U/mg
|
50g/250g
|
五、常见问题(FAQ)
5.1 为什么胰蛋白酶处理后,细胞活性显著下降或大量死亡?
消化过度是最常见原因。胰蛋白酶不仅切割细胞与培养皿之间的粘连蛋白,也会对细胞膜和细胞质内容物产生影响。研究表明,胰蛋白酶处理会导致细胞内小分子代谢物(如氨基酸)泄漏,并引起细胞体积和膜张力的变化,从而影响细胞活力。
解决方案:
* 精确控制时间:消化时间并非固定不变,需在显微镜下密切观察,一旦细胞间隙增大、形态变圆,立即终止消化。
* 降低浓度与温度:对于敏感细胞,可尝试使用更低浓度的胰蛋白酶(如0.05%),或在室温(而非37°C)下进行短时间消化。
* 充分中和:消化后立即加入足量含血清的完全培养基,并轻柔吹打均匀,确保胰蛋白酶被完全中和。
5.2 细胞解离后总是聚集成团,难以形成单细胞悬液,影响计数和后续实验。
吹打不充分;消化过度导致细胞释放DNA,使悬液粘稠;细胞本身粘附性强。
解决方案:
* 轻柔充分吹打:用移液器吸取培养基,沿培养皿底面反复、轻柔地吹打,注意覆盖所有区域。
* 过滤:通过40μm细胞筛网过滤细胞悬液,可有效去除大的细胞团块。
* 添加DNase I:如果因细胞死亡导致DNA释放,可在中和培养基中加入少量DNase I(终浓度10-20 U/mL)以降解DNA,减少粘性。
5.3 胰蛋白酶消化是否会破坏我需要检测的细胞表面蛋白(如流式抗体靶点)?
会,这是非常常见的问题。胰蛋白酶是一种蛋白酶,会切割细胞表面蛋白的特定肽键,可能导致抗原表位被破坏,影响抗体的结合,造成假阴性或信号减弱。
解决方案:
* 实验验证:对于关键表面标志物,需通过实验验证胰蛋白酶处理后的检测效果。消化后,让细胞在完全培养基中于37°C恢复培养30分钟至数小时,有助于部分表面蛋白的再生或重新分布。
* 替代方法:对于特别敏感的标志物,考虑使用不含酶的细胞解离缓冲液(如含EDTA的缓冲液)。
5.4 细胞离心重悬后,发现再次聚集成团,怎么办?
解决方案:离心后,弃上清,不要立即加入大量培养基。先加入少量培养基(如100μL),用手指轻弹管底,将细胞沉淀彻底弹散,形成浓稠但均匀的细胞糊,然后再缓慢加入剩余培养基稀释,这样能有效防止因表面张力导致的细胞成团。
5.5 如何全面评估一次胰蛋白酶消化后的细胞状态是否合格?
评估指标
* 即时指标:台盼蓝染色活率 >90%;显微镜下观察细胞形态饱满、透亮,无过多碎片。
* 短期指标:细胞接种后,在预期时间内(通常6-24小时)能重新贴壁并展开。
* 功能指标:细胞生长曲线正常,倍增时间稳定;用于后续实验(如分化、转染、处理)时,反应符合预期。


















