
微信扫一扫
关注公众号
产品分类
- 酶及底物 (524)
- 免疫学 (2665)
- 标准品/对照品 (131)
- 生物制药与疫苗 (384)
- 分离纯化 (37)
- 生化试剂 (28758)
- 分子生物学 (21)
- WAKO (13617)
- Jackson ImmunoResearch (2012)
- Ludger 糖链分析 (87)
- Lumiprobe活性染料 (3)
- abcam (39111)
- Merck-Sigma (44529)
- MP Bio (11015)
- 试剂 (9728)
- 健康原料 (24)
- 新型材料 (345)
- 仪器分析 (1025)
- 合作品牌 (45348)
- Aalto
- AAT Bioquest
- AbD
- Acros
- Active Motif
- Advanced Targeting Systems
- Ambion
- AnaSpec
- AssayDesign
- Avanti
- Bangs Laboratories
- BioPorto
- BioSource
- bioworld
- cayman
- Chemicon
- Clontech
- CST
- DiFco
- Epigentek
- hampton
- Himedia
- Hyclone
- ldmsapp
- Innova Biosciences
- Invent
- J.T.BAKER
- KALEN
- KPL
- lifespan
- MRC
- Phytotech
- Pierce
- Prozyme
- Qiagen
- R&D
- Roche
- Santa Cruz
- Serotec
- Vector
- Worthington
- 其他分类 (5)
服务保证
西宝风采
公司新闻
ISOIL for RNA 从土壤提取RNA试剂盒
发布时间:2025-12-29 09:55 | 点击次数:56
从土壤提取RNA试剂盒ISOIL for RNA

ISOIL for RNA适用于从土壤样品提取RNA。可利用磁珠对细胞壁较厚的微生物进行强力的破坏,并利用试剂进行溶菌裂解,从而提取其RNA。RNA提取液添加氟化物,可从非火山灰土壤及火山灰土壤提取RNA。进行纯化时,采取有效去除阻碍酶反应的腐殖质等杂质,可简单地纯化出高纯度RNA。提取到的土壤RNA可用于RT PCR-DGGE分析及RT real-time PCR。
本产品十分适合从日本土壤提取RNA,仅需约4小时即可提取大量的高纯度RNA。
使用时,需配合磁珠式破碎装置(适用2 mL试管)使用。
◆特点
• 适用于火山灰土壌(火山灰土等)
• 有效提取高纯度RNA
• 操作用时仅需约4小时
◆产品内容
ISOIL for RNA (50次用量)
|
产品
|
包装
|
保存
|
备注
|
|
Beads Tube R (ISOIL for RNA)
|
50 瓶
|
室温
|
2 mL容量的试管中含有磁珠。
|
|
Sodium Silicofluoride Solution
|
10 mL × 1
|
室温
|
非医疗用剧毒物
氟石圭酸钠溶液 |
|
Lysis Solution R
|
1.25 mL × 3
|
室温
|
|
|
Lysis Solution 20S
|
25 mL × 1
|
室温
|
Lysis Solution 20S有可能析出白色结晶,不影响其品质及性能。如发生此情况,请65°C条件下,对整个容器进行孵化(适当混合),待结晶完全溶解后使用。
|
|
Purification Solution R
|
25 mL × 1
|
室温
|
Purification Solution R有可能析出白色结晶不影响其品质及性能。如发生此情况,请65°C条件下,对整个容器进行孵化(适当混合),待结晶完全溶解后使用。
|
|
Precipitation Solution R
|
35 mL × 1
|
室温(冷藏)
|
开封后需冷藏(2~10°C)。Precipitation Solution R较容易发霉,如发现溶液中有浮游物,请停止使用,并购买新的试剂盒。
|
|
Ethachinmate
|
100 μL × 1
|
室温(冷藏)
|
开封后需冷藏(2~10°C)。
|
|
3M Sodium Acetate(pH5.2)
|
500 μL × 1
|
室温
|
|
|
TE(pH8.0)
|
10 mL × 1
|
室温
|
|
|
Deoxyribonuclease(RT Grade)
|
250 units × 1
|
-20°C
|
|
|
10× DNase(RT Grade)Buffer
|
1 mL × 1
|
-20°C
|
|
|
2 mg/mL BSA Solution
|
1 mL × 1
|
-20°C
|
◆使用例子
操作流程

• *1)~*17) 注释请参照产品手册。
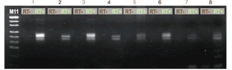
操作实例 从英石火山灰土壤提取RNA(电泳结果及RT-PCR)
从8种土壤样品提取RNA。 分别使用ISOIL for RNA从0.5 g、0.25 g的含有英石的火山灰土壤中提取RNA ,配制成溶液(10 μL)后,4.7 μL用于电泳取样后,0.5 g的土壤样品为冷藏(4℃)一周,0.25 g的土壤样品为冷藏(4℃)三周。

从0.5 g的样品提取RNA溶液
• 一般情况下,可以从土壤中提取RNA,但有些土壤种类难以提取。

从0.25 g的样品提取RNA溶液
• 对于难以从0.5 g样品提取RNA的土壤,减少样品品量,即可回收更多的RNA。
将实验中的0.5 g土壤样品RNA溶液作为模板,使用RT-PCR扩增16S rRNA(约 200 base)将获得的PCR产物进行电泳。

RNA 溶液的RT-PCR
Lane 1 东大弥生农场对照区土壌 (英石火山灰土壤、火山灰土壌)
Lane 2 东大牧场 牧草地 (英石火山灰土壤、火山灰土壌)
Lane 3 筑波 农业环境技术研究所 (英石火山灰土壤、火山灰土壌)
Lane 4 东大田无牧草地 (英石火山灰土壤、火山灰土壌)
Lane 5 草地试验场常年採草地土壌 (灰色低地土、含有一部分火山灰土壌)
Lane 6 千叶农试森林土壌 (英石火山灰土壤、火山灰土壌)
Lane 7 兵库农试森林土壌 (褐色森林土、非火山灰土壌)
Lane 8 富山县 射水市 片口田土壌 (非火山灰土壌)
M RNA Ladder
M11 Marker 11(pUC19/Msp I digest)
• 即使是难以从0.5 g样品提取RNA的土壤,也可从RNA 溶液获得RT-PCR产物。
◆备注
• 本产品是实验研究试剂。请勿用于医疗及其他用途。
• 如果您对试剂的基本的知识不了解,请不要使用。
• Sodium Silicofluoride Solution(氟石圭酸钠溶液)为非医疗用剧毒物(Phenol制剂),请小心操作
• 使用时请穿着适当的防护设备(手套、眼镜等)。
• 请按照说明书进行操作。
• 对于因不按照说明书操作而导致的事故,Nippon Gene不负任何责任。
License
Nippon Gene 公司正向独立行政法人科学技术振兴机构(JST)申请ISOIL for RNA土壌RNA提取法的专利。土壌RNA的提取法及纯化法已获得JST的认可。
产品列表
| 产品编号 | 产品名称 | 产品规格 |
| 312-07411 | ISOIL for RNA | 50次用量 |


















