
微信扫一扫
关注公众号
DNA提取试剂盒(DNA Extractor® SP Kit)13788987962
询价
产品分类
- 酶及底物 (520)
- 免疫学 (3082)
- 标准品/对照品 (536)
- 生物制药与疫苗 (604)
- 分离纯化 (37)
- 生化试剂 (28456)
- 分子生物学 (21)
- WAKO (13398)
- Jackson ImmunoResearch (2012)
- Ludger 糖链分析 (86)
- Lumiprobe活性染料 (3)
- abcam (39035)
- Merck-Sigma (43815)
- MP Bio (10900)
- 试剂 (9600)
- 健康原料 (24)
- 新型材料 (344)
- 仪器分析 (1023)
- 合作品牌 (44374)
- Aalto
- AAT Bioquest
- AbD
- Active Motif
- Advanced Targeting Systems
- Ambion
- AnaSpec
- AssayDesign
- Avanti
- Bangs Laboratories
- BioPorto
- BioSource
- bioworld
- cayman
- Chemicon
- Clontech
- CST
- DiFco
- Epigentek
- hampton
- Himedia
- Hyclone
- ldmsapp
- Innova Biosciences
- Invent
- J.T.BAKER
- KPL
- lifespan
- MRC
- Phytotech
- Pierce
- Prozyme
- Qiagen
- R&D
- Roche
- Santa Cruz
- Vector
- Worthington
- 其他分类 (9)
服务保证
西宝风采
公司新闻
StemRNA第三代重编程试剂盒
发布时间:2025-10-11 10:02 | 点击次数:256
StemRNA 3rd Gen Reprogramming KitStemRNA第三代重编程试剂盒 (又名StemRNA™-NM重编程试剂盒)
Stemgent RNA重编程的新产品——StemRNA第三代重编程试剂盒(旧名StemRNA-NM重编程试剂盒),结合了未经修饰的RNA和microRNA技术,使干细胞研究人员追求的多功能性、简易性和时间效益提升到一个新的层次,使人成纤维细胞,以及来自难以重编程的患者血液和尿液的细胞样品得已重编程,成为具有全能性的诱导型多功能干细胞(iPS)。
◆主要优点
● 运用灵活技术,可从多种靶细胞得到高质量的人iPS细胞系
即开即用。可用于来自皮肤(成纤维细胞),血液(内皮祖细胞; EPCs)和尿液(尿源性上皮细胞; UDCs)细胞的重编程。
● 高效率的非整合重编程
StemRNA-3rd Gen仅需要少至四种额外的试剂。试剂盒中的双链microRNA可增强重编程效率,提高iPS获得效率(成纤维细胞高达4%,EPC高达3%,UPC高达0.5%)。
● 省时的操作更快获得结果,从而提高吞吐量
从成纤维细胞的细胞系中得到iPS克隆需要10-14天,而从EPC或UPC中获得细胞系需要12-16天。无需筛选,无需像其他技术般额外培养2-10周(3-10代)以清除载体。
|
StemRNA 3rd Gen Reprogramming Kit (00-0076)
|
|||
|
特点
|
成纤维细胞
|
尿液 (UDCs)
|
血液(EPCs)
|
|
每个试剂盒可转染的孔数(6孔板)
|
9
|
3
|
3
|
|
转染次数
|
4
|
6-8
|
6-8
|
|
获得原代iPS细胞克隆所需天数
|
10-14
|
12-14
|
12-14
|
|
重编程效率
|
2-+4%
|
0.1-0.5%
|
0.4-3%
|
|
筛选
|
否
|
否
|
否
|
|
兼容异源成分的培养步骤
|
是
|
否
|
否
|
|
GMP级的RNA制备步骤
|
是
|
是
|
是
|

在NutriStem™ XF / FF培养基(01-0005)中扩增后,使用StainAlive™ TRA-1-60抗体(09-0068)和DAPI对UDCs的P7原代iPS细胞进行染色。

StemRNA 3rd Gen Reprogramming Kit

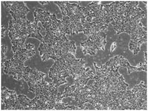
以StemRNA 3rd Gen Reprogramming Kit 配合NutriStem™ XF/FF培养基(01-0005)及iMatrix-511(NP892-011)基质上培养成纤维细胞衍生的iPS细胞7代。 放大倍数:4x

StemRNA-NM的成纤维细胞重编程s时间表
◆产品说明
|
规格
|
1 kit
|
|
试剂盒组分
|
OKSMNL NM-RNA(编号05-0040),30 µg,1 vial
EKB NM-RNA(编号05-0041),22 µg,1 vial NM-microRNAs(编号05-0042),15 µg,1 vial |
|
储存与稳定性
|
1. 试剂盒三种成分均需储存在-70°C以下;
2. 在适当的保存条件下,自到货后三个月内有效。 |
|
质量控制
|
试剂盒种每种mRNA的大小与完整性均经过检测。
StemRNA 3rd Gen Reprogramming Kit 成功进行了人成纤维细胞和人脐静脉内皮细胞RNA基础重编程功能验证。 iPS细胞系完全重编程可通过多能性标记物的表达及正确的形态来确认。 试剂盒所有组分均无菌,支原体检测均呈阴性。 |
|
使用许可
|
该产品使用Biontech AG exclusive许可技术,引自专利WO 2009/088134。
Biontech AG的WO 2007/036366,WO 2007/036366,WO 2007/036366和WO 2007/036366等多专利也涵盖了本产品。 |
产品列表
| 产品编号 | 产品名称 | 产品规格 |
| 00-0076 | StemRNA™-NM Reprogramming Kit StemgentRNA™-NM重编程试剂盒 |
1 kit |
相关产品
| 产品编号 | 产品名称 | 产品规格 |
| 01-0005 | NutriStem XF/FF Culture Medium (500 mL) NutriStem 无饲养层干细胞培养基 |
500 mL |
| 01-0005-100 | NutriStem XF/FF Culture Medium (100 mL) NutriStem 无饲养层干细胞培养基 |
100 mL |
| 03-0002 | Stemfactor™ FGF-Basic, Human Recombinant Stemfactor™ FGF-Basic,人重组 |
50 µg |
| 01-0020-50 | NutriFreez D10 Cryopreservation Medium (50mL) NutriFreez D10冻存液(50mL) |
50 mL |
| NP892-011 | iMatrix-511 iMatrix-511层粘连蛋白 |
350 μg |
| NP892-012 | iMatrix-511 iMatrix-511层粘连蛋白 |
1050 μg |
| 385-07361 | iMatrix-511 solution(0.5 mg/mL) 重组层粘连蛋白511-E8片段,溶液(0.5 mg/mL) |
175 μg×2 |


















