
微信扫一扫
关注公众号
Minute TM 总蛋白提取试剂盒(动物细胞/组织)
¥2376
产品分类
- 酶及底物 (520)
- 免疫学 (3082)
- 标准品/对照品 (536)
- 生物制药与疫苗 (604)
- 分离纯化 (37)
- 生化试剂 (28456)
- 分子生物学 (21)
- WAKO (13398)
- Jackson ImmunoResearch (2012)
- Ludger 糖链分析 (86)
- Lumiprobe活性染料 (3)
- abcam (39035)
- Merck-Sigma (43815)
- MP Bio (10900)
- 试剂 (9600)
- 健康原料 (24)
- 新型材料 (344)
- 仪器分析 (1023)
- 合作品牌 (44374)
- Aalto
- AAT Bioquest
- AbD
- Active Motif
- Advanced Targeting Systems
- Ambion
- AnaSpec
- AssayDesign
- Avanti
- Bangs Laboratories
- BioPorto
- BioSource
- bioworld
- cayman
- Chemicon
- Clontech
- CST
- DiFco
- Epigentek
- hampton
- Himedia
- Hyclone
- ldmsapp
- Innova Biosciences
- Invent
- J.T.BAKER
- KPL
- lifespan
- MRC
- Phytotech
- Pierce
- Prozyme
- Qiagen
- R&D
- Roche
- Santa Cruz
- Vector
- Worthington
- 其他分类 (9)
服务保证
西宝风采
公司新闻
SRV(TM) Vector 系列
发布时间:2025-10-09 11:26 | 点击次数:205
SRV™ Vector 系列通过简单的操作即可建立高质量的iPS细胞系。
推荐使用对象
● 初次尝试建立iPS细胞系的用户
● 需要高效建立细胞系,但转录因子不整合到细胞基因组的用户
● 尝试了其他方法但不成功的用户
SRV™ iPSC Vector的特点
● 在细胞质中也可稳定表达,无需整合进宿主细胞基因组
● SRV™ 载体的密码子经人工修饰优化,细胞毒性低,不容易发生干扰素诱导
● 重编程iPS细胞后,可在短时间内消除SRV™
● 人、小鼠等广泛宿主中的分裂细胞和非分裂细胞均可导入基因
● 在单个RNA上搭载所有转录因子,实现高效重编程
● 通过EGFP可以判断基因导入的效率和消除的状况
● 无需饲养细胞
● 基因导入步骤需要BSL2级别实验室,但后续过程均可在BSL1级别实验室处理
什么是隐形RNA载体(SRV™ )?
|
根据产业技术综合研究所(日本)开发的持续表达型仙台病毒(SeVdp)进一步改良而成的载体,在直径240 nm的类病毒粒子中包封了由人工核酸组成的一系列RNA转录基因。
● 为了避免(病毒成分导致的)干扰素诱导,使用了针对人体细胞优化的人工核酸
● 编码区和非编码区经过人工修饰,大部分非编码区来源于人mRNA
● 仅使用重编程基因表达所需的最少基因 人体细胞难以将这种载体识别为异物
|
SRV™ iPSC Vector的种类
SRV™ iPSC-1 Vector : siRNA导入后去除载体
SRV™ iPSC-2 Vector : 伴随重编程自动去除载体

导入基因表达的调节
隐形RNA载体(SRV™)可以调节导入基因的表达水平。
在SRV™ iPSC Vector 系列中,转录因子的表达根据所使用的细胞均已调整到最佳水平。
iPS 细胞的制备效率*
※制备效率是本产品在Feeder-free条件下的实验方案得出的内部数据。当使用其他细胞作为iPS细胞诱导的亲细胞时,应考虑实验方案的适配性。
|
载体名
|
SRV™ iPSC-1 Vector
|
SRV™ iPSC-2 Vector
|
|
载体去除方法
|
siRNA导入后去除载体※
|
自动去除载体
|
|
重编程基因的表达水平
|
低水平
![]() |
中水平
![]() |
|
成纤维细胞
|
5%
|
ー
|
|
外周血单核细胞、含淋巴细胞的外周血单核细胞
|
ー
|
0.05%
|
|
CD34阳性细胞
|
9%
|
17%
|
|
推荐靶细胞
|
成纤维细胞
|
外周血单个核细胞(PBMC)
CD34阳性细胞
|
※请另单独购买siRNA产品。
◆SRV™ iPSC-1 Vector
通过导入siRNA来去除载体,适用于成纤维细胞的重编程
SRV™ iPSC-1 Vector是一款经基因表达水平优化的,主要用于成纤维细胞制备iPS细胞的产品。它搭载了四种人源重编程基因OCT3/4、KLF4、SOX2、c-MYC 以及EGFP、Puro抗性基因。通过导入siRNA※来去除隐形RNA载体。
※对于使用SRV™ iPSC-1 Vector的实验,请单独购买siRNA。使用SRV™ iPSC-1 Vector的iPS细胞诱导方案中记载了所需siRNA的序列信息。
iPS细胞制备流程:使用SRV™ iPSC-1 Vector将成纤维细胞诱导为iPS细胞的示例
此数据为使用细胞基质(iMatrix511)和培养基(StemFit® Basic02N)的内部数据。如果使用其他基质或培养基,请考虑实验方案的适配性。

◆SRV™ iPSC-2 Vector
伴随着miR-302的表达而响应并自动去除载体的类型,适用于外周血或脐带血中含有的单核细胞的重编程!
SRV™ iPSC-2 Vector是一款经基因表达水平优化的,用于外周血单核细胞(PBMC)和CD34阳性细胞制备iPS细胞的产品,它搭载了四种人源重编程基因OCT3/4、KLF4、SOX2、c-MYC 以及EGFP、Puro抗性基因。该隐形RNA载体通过响应miR-302 的表达而自动清除。
iPS细胞制备流程 : 使用SRV™ iPSC-2 Vector将血细胞(单核细胞)诱导为iPS细胞的示例
此数据为使用细胞基质(iMatrix511)和培养基(StemFit® BasicAK02N)的内部数据。如果使用其他基质或培养基,请考虑实验方案的适配性。

◆SRV™ control Vector
通过隐形RNA载体确认导入的基因在各种细胞中的活性

SRV™ control Vector 是一种搭载了荧光蛋白EGFP的隐形RNA载体。
可以通过将该载体的基因导入到各种细胞来确认隐形RNA载体的导入效率。
![]() |
![]() |
|
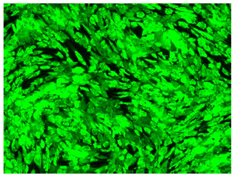
SRV™ control Vector基因导入HDF细胞(人成纤维细胞)的结果(MOI=3)。
|
隐形RNA载体导入到人软骨原代培养细胞中的结果(MOI=20)。
(与近畿大学寺村教授的共同研究)
|
SRV可以导入到多种细胞中,而且不论是分裂细胞还是非分裂细胞均可高效导入,但请根据使用的靶细胞,提前摸索MOI值。
|
产品编号
|
生产商编号
|
产品名称
|
规格
|
|
385-19071
|
S1011624P
|
SRV™ iPSC-1 Vector
|
3×106 CIU/tube 以上
对于1×105 cells,当MOI=3时可以制备iPSC 10次以上 |
|
389-19091
|
S1011694P
|
SRV™ iPSC-2 Vector
|
3×106 CIU/tube 以上
对于1×105 cells,当MOI=3 时可以制备iPSC 10次以上 |
|
381-19051
|
S0011590P
|
SRV™ control Vector
|
5×106 CIU/tube以上
|
请在前面提到的级别或更高级别的实验室中进行实验。对于基因重组实验,需在BSL2实验室进行。
|
关于iPS细胞技术相关专利及产品使用的通知
SRV 产品(SRV™ iPSC-1 Vector, SRV™ iPSC-2 Vector)基于iPS Academia Japan公司和Tokiwa-Bio公司签订的共享iPS细胞技术相关专利
的协议进行售卖。如果以营利为目的使用SRV开发和售卖产品等,那么请另行与iPS Academia Japan公司和Tokiwa-Bio公司签订技术相关的
专利协议。 如果是非营利组织或以学术,教育为目的使用则为非营利目的。详情请通过以下联系方式进行咨询。
联系方式:
iPS Academia Japan, Inc.
〒606-8501 京都市左京区吉田本町 36 番地 1 京都大学国际科学创新栋 東馆 207
E-mail : license@ips-ac.co.jp(专利部门)
|
※ 本页面产品仅供研究用,研究以外不可使用。






















