
微信扫一扫
关注公众号
Seebio® 化学发光CDP-star底物系统
询价
产品分类
- 酶及底物 (520)
- 免疫学 (3082)
- 标准品/对照品 (536)
- 生物制药与疫苗 (604)
- 分离纯化 (37)
- 生化试剂 (28456)
- 分子生物学 (21)
- WAKO (13398)
- Jackson ImmunoResearch (2012)
- Ludger 糖链分析 (86)
- Lumiprobe活性染料 (3)
- abcam (39035)
- Merck-Sigma (43815)
- MP Bio (10900)
- 试剂 (9600)
- 健康原料 (24)
- 新型材料 (344)
- 仪器分析 (1023)
- 合作品牌 (44374)
- Aalto
- AAT Bioquest
- AbD
- Active Motif
- Advanced Targeting Systems
- Ambion
- AnaSpec
- AssayDesign
- Avanti
- Bangs Laboratories
- BioPorto
- BioSource
- bioworld
- cayman
- Chemicon
- Clontech
- CST
- DiFco
- Epigentek
- hampton
- Himedia
- Hyclone
- ldmsapp
- Innova Biosciences
- Invent
- J.T.BAKER
- KPL
- lifespan
- MRC
- Phytotech
- Pierce
- Prozyme
- Qiagen
- R&D
- Roche
- Santa Cruz
- Vector
- Worthington
- 其他分类 (9)
服务保证
西宝风采
公司新闻
重组蛋白纯化检测用 PA标签系统
发布时间:2025-04-09 08:58 | 点击次数:254
重组蛋白纯化检测用PA标签系统


◆特点
● 通过树脂再生,降低运行成本
● 超高亲和性抗体,实现高回收率、高纯度纯化
● 在动物细胞表达系(HEK293T细胞、CHO细胞等)中,有效纯化蛋白
● PA标签系统是使用可识别肽标签(12个氨基酸残基)的单抗(NZ-1)。日本开发的亲和性纯化标签系统。
● NZ-1单抗对PA tag具有高亲和性和特异性,可应用于Western Blotting、细胞流式分析、免疫组化(ICC)。
通过免疫沉淀,可纯化PA标签融合蛋白以及树脂再生。
● PA标签系统,可一步纯化高纯度PA标签融合蛋白。
◆PA标签系统
Fujii, Y. et al., "PA tag: A versatile protein tagging system using a super high affi nity antibody against a dodecapeptide derived from human podoplanin.", Protein Exp. Purif., 95, 240-247(2014).
Fujii, Y. et al.
新型亲和标签系统“PA tag”的应用方法~蛋白的纯化及检测~
蛋白科学学会档案, 7, e075 (2014)
◆PA标签表达载体案例

|
载体
|
表达模式
|
宿主细胞
|
MCS启动子
|
|
pCAG
|
瞬时表达
|
灵长类(人、猴)、犬细胞等粘着细胞
和啮齿动物细胞 |
CAG
|
测序用引物序列、其他载体序列的相关详细信息,已附在产品现货说明书中。
另外可点击和光主页/TARGET标签,查看序列信息、Multi Cloning Site(MCS)信息。
◆用PA标签从培养上清中亲和提纯的案例

数据提供:大阪大学 蛋白研究所附属蛋白分析先进研究中心
分子创制学研究室 高木淳一老师,藤井勇树老师
◆Protocol目的蛋白的纯化
1.哺乳类动物细胞转染(HEK293T)
转染处于40-60%融合状态的细胞
培养基:D-MEM, 5%FBS
2.回收培养上清和吸附蛋白树脂
转染48-72小时后,回收约420 mL培养上清,加入8 mL抗PA标签抗体琼脂糖珠,混合2小时(2-10℃)
3.树脂回收
用50 mL的纯化柱。回收步骤2)中的琼脂糖珠
4.树脂洗涤
加入珠4倍量的TBS 缓冲液(20 mM Tris-HCl, 150 mM NaCl),清洗5次
5.PA标签肽从树脂中竞争性洗脱
加入经1×TBS溶液, pH 7.5溶解过的PA 标签肽(终浓度0.1 mg/mL),体积量需为珠的一倍,
然后分10次回收PA标签融合蛋白X
6.SDS-PAGE
样品量
c. sup:5 μL, flow through:5 μL, wash:5 μL,
肽洗脱(1-10):各10 μL
可纯化PA标签融合蛋白X且不依赖PA标签。→可实现极高纯度的亲和纯化。
◆通过PA tag降低背景的方法
![]() 可在含有高浓度NaCl的TBS溶液中,通过前清洗去除杂质蛋白!! |
M: Marker
I: input 100ng分 P: 纯化前样品 1: wash片段① 2: wash片段② 3: wash片段③ 4: wash片段④ 5: wash片段⑤ 6: wash片段⑥ 7: wash片段⑦ 8: wash片段⑧ 9: wash片段⑨ 10: 酸洗脱① 11: 酸洗脱② 12: 酸洗脱③ 13: 酸洗脱④ 14: 酸洗脱⑤ |
在20 mL的昆虫细胞溶解液中加入蛋白Z,使其浓度变为1.0 mg/L后,添加200 μL抗PA标签抗体琼脂糖珠,4℃温度条件下,搅拌3小时。
分别用不同浓度的TBS溶液(0.15 M、0.5 M、1.0 M NaCl)进行调整,用琼脂糖珠50倍量清洗。在回收的各珠中加入0.5 mL 0.1 M Glycine-HCl(pH 2.7),室温条件下平稳震动5 min。
离心后回收上清,用1 M Tris-HCl (pH 9.0)做中和处理。
SDS-PAGE后进行银染,比较去除污染蛋白之后,不同浓度下的结果。
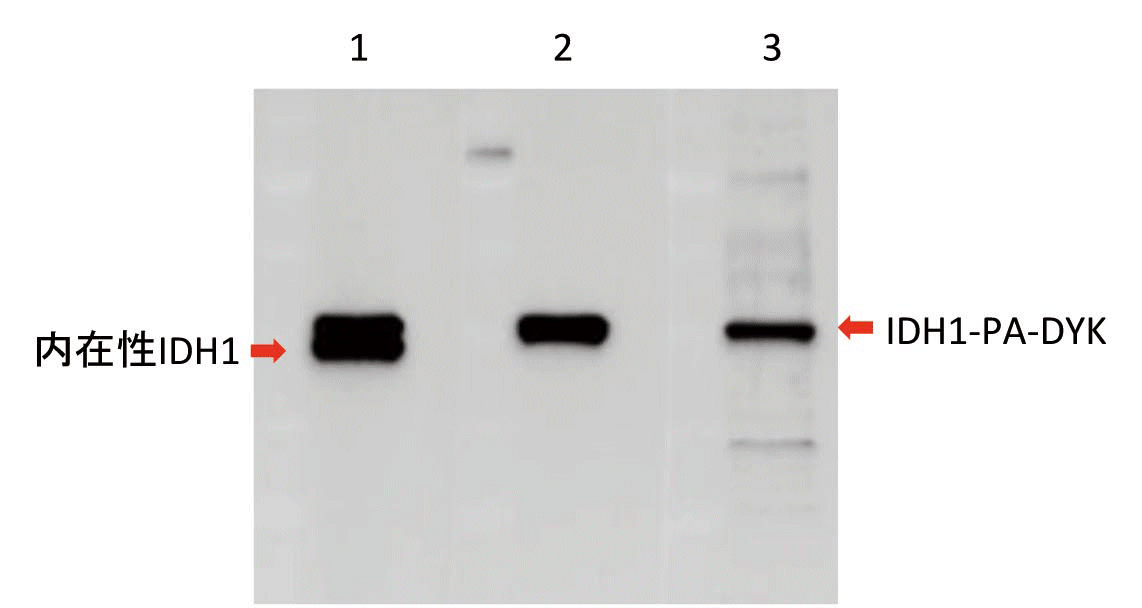
◆使用案例:Western Blotting
![]() 数据提供:东北大学研究生院医学系研究科 地域革新领域 加藤 幸成老师,金子 美华老师
NZ-1显示出与天然抗体具有相同的高检测灵敏度。
|
Lane 1
一抗:抗IDH1抗体(RcMab-1), 1 μg/mL
二抗:抗大鼠IgG-HRP标签, 1000倍稀释
Lane 2 一抗:抗PA tag抗体, 1 μg/mL
二抗:抗大鼠IgG-HRP标签, 1000倍稀释
Lane 3 一抗:抗DYKDDDDK标签抗体, 3.5 μg/mL
二次抗体:抗小鼠IgG-HRP标签, 1000倍稀释
样品量:各10 μg 曝光时间:10分钟 |
◆PA标签系列
|
产品名称
|
子类克隆号
|
适用实验
|
规格
|
产品编号
|
包装
|
|
单抗
|
|||||
|
抗PA标签, 大鼠单抗
Anti PA tag, Rat Monoclonal Antibody
|
大鼠IgG2a
NZ-1 |
IP, WB, FCM, ICC
|
免疫化学用
|
016-25861
|
200 μL
|
|
012-25863
|
1 mL
|
||||
|
HRP标签单抗
|
|||||
|
抗PA标签, 大鼠单抗,过氧化酶结合
Anti PA tag, Rat Monoclonal Antibody, Peroxidase Conjugated
|
大鼠IgG2a
NZ-1
|
WB
|
免疫化学用
|
015-25951
|
200 μL
|
|
011-25953
|
1 mL
|
||||
|
产品名称
|
子类克隆号
|
规格
|
产品编号
|
包装
|
|
抗体结合琼脂糖珠
|
||||
|
抗PA标签抗体琼脂糖珠
Anti PA tag Antibody Beads
|
大鼠IgG2a NZ-1
|
免疫化学用
|
012-25841
|
2 mL(Net 1 mL)
|
|
018-25843
|
10 mL
(Net 5 mL)
|
|||
|
016-25844
|
50 mL
(Net 25 mL)
|
|||
|
识别N端、C端的PA标签
使用载体:4% 琼脂糖 溶液组成:1 x PBS (pH7.2), 0.05 w/v%Sodium azide 抗体结合量:参见标签记载 结合容量:1 mL本品可结合约0.015-1.0 mg的PA标签融合蛋白 |
||||
|
抗体结合磁珠
|
||||
|
MagCaptureTM HP 抗PA标签抗体磁珠
MagCapture™ HP Anti PA tag Antibody Magnetic Beads
|
大鼠IgG2a NZ-1
|
免疫化学用
|
137-18751
|
2 mL
|
|
溶液组成:1×TBS(pH 7.4), 50% glycerol, 0.05 w/v% sodium azide
|
||||
|
产品名称
|
备注
|
规格
|
产品编号
|
包装
|
|
肽
|
||||
|
PA标签肽
PA tag Peptide
|
含量(HPLC)95%以上
|
基因研究用
|
167-25501
|
5 mg
|
|
163-25503
|
25 mg
|
|||
|
清洗溶液
|
||||
|
PA标签清洗溶液
PA tag Washing Solution
|
已过滤消毒
即用型 |
基因研究用
|
169-27261
|
50 mL
|
|
产品名称
|
可选Marker
|
产品编号
|
包装
|
|
|
大肠杆菌
|
动物细胞
|
|||
|
瞬时载体
|
||||
|
pCAG-Ble PA 标签-C
pCAG-Ble PA tag-C
|
Bleomycin
|
161-26861
|
20 μg
|
|
|
pCAG-Ble PA 标签-N 信号 增加型
pCAG-Ble PA tag-N Signal Plus
|
Bleomycin
|
168-26871
|
20 μg
|
|
|
pCAG-Bsd PA 标签-C
pCAG-Bsd PA tag-C
|
Blasticidin S
|
165-26881
|
20 μg
|
|
|
pCAG-Bsd PA 标签-N 信号 增加型
pCAG-Bsd PA tag-N Signal Plus
|
Blasticidin S
|
162-26891
|
20 μg
|
|
|
pCAG-Neo PA 标签-C
pCAG-Hyg PA tag-C
|
Hygromycin B
|
165-26901
|
20 μg
|
|
|
pCAG-Hyg PA 标签-N 信号 增加型
pCAG-Hyg PA tag-N Signal Plus
|
Hygromycin B
|
162-26911
|
20 μg
|
|
|
pCAG-Neo PA 标签-C
pCAG-Neo PA tag-C
|
Kanamycin
|
G418
|
169-26921
|
20 μg
|
|
pCAG-Neo PA 标签-N 信号 增加型
pCAG-Neo PA tag-N Signal Plus
|
Kanamycin
|
G418
|
166-26931
|
20 μg
|
◆相关产品
内参照
下表为Western Blot实验中参照用单抗一览表。
|
产品名称
|
规格
|
产品编号
|
包装
|
|
抗β肌动蛋白单抗
Anti β-Actin, Monoclonal Antibody |
免疫化学用
|
013-24553
|
200 μg
|
|
011-24554
|
1 mg
|
||
|
017-24556
|
5 mg
|
||
|
抗β肌动蛋白单抗,过氧化物酶标记
Anti β-Actin, Monoclonal Antibody, Peroxidase Conjugated
|
免疫化学用
|
017-24573
|
200 μL
|
|
抗α-微管蛋白, 单抗
Anti α-Tubulin, Monoclonal Antibody
|
免疫化学用
|
011-25034
|
10 μg
|
|
017-25031
|
200 μg
|
||
|
013-25033
|
1 mg
|
||
|
Anti β-Tubulin, Monoclonal Antibody
抗β-微管蛋白, 单抗 |
免疫化学用
|
018-25044
|
10 μg
|
|
014-25041
|
200 μg
|
||
|
010-25043
|
1 mg
|
||
|
Anti GAPDH, Monoclonal Antibody
抗GAPDH, 单抗 |
免疫化学用
|
016-25523
|
200 μg
|
|
014-25524
|
1 mg
|
||
|
010-25526
|
5 mg
|
||
|
Anti GAPDH, Monoclonal Antibody, Peroxidase Conjugated
抗GAPDH, 单抗, 过氧化酶结合 |
免疫化学用
|
015-25473
|
200 μL
|
蛋白酶抑制剂系列
|
产品名称
|
规格
|
产品编号
|
包装
|
|
蛋白酶抑制剂混合物试剂盒 I,无动物源成分(通用型)
Protease Inhibitor Cocktail Set I, Animal-derived-free (for general use) (×100), Lyophilized
|
通用型
|
165-26021
|
1 mL用
|
|
161-26023
|
1 mL用×5
|
||
|
蛋白酶抑制剂混合物试剂盒III, DMSO溶液(不含EDTA)(×100)
Protease Inhibitor Cocktail Set III, DMSO Solution (EDTA free) (×100) |
动物细胞
|
163-26061
|
1 mL
|
|
169-26063
|
1 mL×5
|
||
|
蛋白酶抑制剂混合物试剂盒V (无EDTA)(×100)
Protease Inhibitor Cocktail Set V (EDTA free) (×100), Lyophilized |
2D电泳
|
162-26031
|
1 mL
|
|
168-26033
|
1 mL×5
|
||
|
蛋白酶抑制剂混合物试剂盒 VI,DMSO溶液,用于植物(×100)
Protease Inhibitor Cocktail Set VI, DMSO Solution (for Plant) (×100) |
植物细胞
|
164-26091
|
1 mL
|
|
160-26093
|
1 mL×5
|
||
|
蛋白酶抑制剂混合物试剂盒VII,DMSO溶液,组氨酸标签蛋白(×100)
Protease Inhibitor Cocktail Set VII, DMSO Solution (for Histidine-tagged Protein) (×100) |
His Tag 纯化※
|
167-26101
|
1 mL
|
|
163-26103
|
1 mL×5
|
※ 本页面产品仅供研究用,研究以外不可使用。




















