
微信扫一扫
关注公众号
产品分类
- 酶及底物 (524)
- 免疫学 (2688)
- 标准品/对照品 (131)
- 生物制药与疫苗 (384)
- 分离纯化 (37)
- 生化试剂 (28758)
- 分子生物学 (21)
- WAKO (13617)
- Jackson ImmunoResearch (2012)
- Ludger 糖链分析 (87)
- Lumiprobe活性染料 (3)
- abcam (39111)
- Merck-Sigma (44529)
- MP Bio (11015)
- 试剂 (9728)
- 健康原料 (24)
- 新型材料 (345)
- 仪器分析 (1025)
- 合作品牌 (45348)
- Aalto
- AAT Bioquest
- AbD
- Acros
- Active Motif
- Advanced Targeting Systems
- Ambion
- AnaSpec
- AssayDesign
- Avanti
- Bangs Laboratories
- BioPorto
- BioSource
- bioworld
- cayman
- Chemicon
- Clontech
- CST
- DiFco
- Epigentek
- hampton
- Himedia
- Hyclone
- ldmsapp
- Innova Biosciences
- Invent
- J.T.BAKER
- KALEN
- KPL
- lifespan
- MRC
- Phytotech
- Pierce
- Prozyme
- Qiagen
- R&D
- Roche
- Santa Cruz
- Serotec
- Vector
- Worthington
- 其他分类 (5)
服务保证
西宝风采
公司新闻
神经元病理染色试剂 蛋白银
发布时间:2024-12-05 09:05 | 点击次数:231
神经元病理染色试剂蛋白银

病理学特殊染色:可用于Bodian染色的蛋白银。
神经退行性疾病组织学染色具有以下特征,老年斑:红紫色(淀粉样蛋白核心:红色)、神经原纤维缠结:神经原纤维缠结(红色~黑紫色)、匹克小体(匹克氏病):红褐色。
外观:微褐色~褐色,结晶性粉末~粉末或块状物
◆染色示例
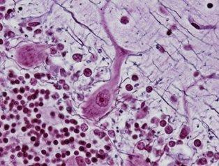
![]() 图1. 小脑
轴突(黑色)、 浦肯野细胞(红紫色)、粒细胞(红紫色)
|
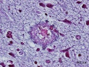
![]() 图2. 大脑
老年斑(红紫色)和淀粉样蛋白核心(红色)
|
![]() 图3. 大脑
神经元纤维变化(箭头:红紫色 红褐色)
|
![]() 图4. 大脑(匹克氏病)
匹克小体(箭头:红褐色)
|
染色状态
轴突:黑色
浦肯野细胞、颗粒层(小脑):红紫色
小脑皮层:浅紫色
神经退行性疾病组织学特征
老年斑:红紫色(淀粉样蛋白核心:红色)
神经原纤维缠结:神经原纤维缠结(红色~黑紫色)
匹克小体(匹克氏病):红褐色
◆染色方法示例
Bodian染色法概要

Bodian染色实验步骤
1. 制备1%蛋白银溶液

称量0.5 g蛋白银放入染色缸,并加入50 mL蒸馏水。
等待其自然溶解(约1 h)。
※ 急用时,也可在烧杯等容器中进行溶解,并使用搅拌器轻轻搅拌。
2. 铜粒子

添加4 g铜粒子。
3. 将需要染色的切片插入染色缸

溶液为50 mL时,建议放入6片左右。
4. 在40°C培养箱中静置一晚(12-18 h)

请注意,如果时间过长,银反应会继续进行导致黑色过深。
5. 制备还原液
【组成】
蒸馏水……100 mL
对苯二酉分….1 g
福尔马林….5 mL
6. 还原处理

7. 氯化金处理

还原处理后,用水清洗3 min,并按照以下操作进行处理。一旦变为白色后就会逐渐呈现褐色。
8. 1%草酸处理

逐渐呈红紫色。
9. 固定处理

10. 脱水,澄清,封存
注意事项
1. 可使用标准方法染色,但应避免长时间的银反应。
2. 良好的染色效果会受温度和时间的影响,因此,请根据研究机构考虑适合的条件。
3. 根据固定效果依次排序固定条件:酸性福尔马林 > 中性缓冲福尔马林 > 多聚甲醛,延长固定时间预计不会影响染色效果。
产品列表
| 产品编号 | 产品名称 | 产品规格 | 产品等级 |
| 198-18101 | Silver Protein 蛋白银 |
3g | 神经元病理Bodian染色 |






















