
微信扫一扫
关注公众号
磷酸化Tau231(pTau 231)抗体,EKN0736B
¥6228
产品分类
- 酶及底物 (520)
- 免疫学 (3082)
- 标准品/对照品 (536)
- 生物制药与疫苗 (604)
- 分离纯化 (37)
- 生化试剂 (28456)
- 分子生物学 (21)
- WAKO (13398)
- Jackson ImmunoResearch (2012)
- Ludger 糖链分析 (86)
- Lumiprobe活性染料 (3)
- abcam (39035)
- Merck-Sigma (43815)
- MP Bio (10900)
- 试剂 (9600)
- 健康原料 (24)
- 新型材料 (344)
- 仪器分析 (1023)
- 合作品牌 (44374)
- Aalto
- AAT Bioquest
- AbD
- Active Motif
- Advanced Targeting Systems
- Ambion
- AnaSpec
- AssayDesign
- Avanti
- Bangs Laboratories
- BioPorto
- BioSource
- bioworld
- cayman
- Chemicon
- Clontech
- CST
- DiFco
- Epigentek
- hampton
- Himedia
- Hyclone
- ldmsapp
- Innova Biosciences
- Invent
- J.T.BAKER
- KPL
- lifespan
- MRC
- Phytotech
- Pierce
- Prozyme
- Qiagen
- R&D
- Roche
- Santa Cruz
- Vector
- Worthington
- 其他分类 (9)
服务保证
西宝风采
公司新闻
Tau 抗体系列 阿尔茨海默病相关抗体
发布时间:2024-11-29 13:30 | 点击次数:377
Tau 抗体系列阿尔茨海默病相关抗体

痴呆症是一种由于脑部疾病或障碍导致正常记忆、思考能力下降的疾病。痴呆症有几种类型,常见的为阿尔茨海默病。
在阿尔茨海默病中,β-淀粉样蛋白(Aβ)的聚集大约出现在发病前20年,随后是Tau的聚集和神经退行性变。
◆Tau抗体
Tau是微管结合蛋白的一种,主要在中枢神经系统中的神经元表达,调节微管的稳定性。
阿尔茨海默病中可以观察到磷酸化Tau蛋白聚集形成的神经原纤维缠结,因此, Tau的聚集作为阿尔茨海默病候补病因的研究也在不断展开。
据报告,Tau有超过40个的磷酸化位点(图1),富士胶片和光推出了一系列磷酸化位点特异性抗体供客户选择。
此外,通过剪接,Tau存在六种异构体(图2),富士胶片和光也推出了一系列能特异性识别特定异构体的抗体。
| 图1 Tau蛋白总长和磷酸化位点示意图 | 图2 Tau 异构体示意图 |
![]() |
![]() |
Tau抗体选择指南
|
识别Tau
|
克隆编号
|
应用*
|
物种交叉性
|
免疫动物/亚型
|
表位
|
抗体浓度
|
产品编号
|
||
|
10 μL
|
50 μL
|
||||||||
|
Total Tau
|
小鼠、大鼠、人
|
RTM38
|
WB, IHC, ICC
|
小鼠、大鼠、人
|
大鼠/IgG2a κ
|
Tau(417-441 a.a.)
|
1.0-1.2 mg/mL
|
-
|
017-26893
|
|
人特异性
|
RTM49
|
WB, IHC, ICC
|
人
|
大鼠/IgG1 κ
|
Tau(2-44a.a.)
|
1.0-1.2 mg/mL
|
-
|
015-26953
|
|
|
小鼠特异性
|
RTM47
|
WB, IHC, ICC
|
小鼠
|
大鼠/IgG2b κ
|
-
|
1.0-1.2 mg/mL
|
-
|
012-26963
|
|
|
磷酸化
Tau
|
Tau T181
|
2E2-A6
|
WB, IHC
|
人
|
大鼠/IgG2b κ
|
Tau pT181
|
1.0-1.1 mg/mL
|
-
|
016-26601
|
|
Tau S199
|
5B8-1E2
|
WB, IHC
|
人
|
大鼠/IgG2a κ
|
Tau pS199
|
1.0-1.1 mg/mL
|
-
|
013-26611
|
|
|
Tau S262
|
TIP1-35
|
WB, ICC, ELISA
|
人
|
大鼠/IgG1 λ
|
Tau pS262
|
0.9 mg/mL
|
-
|
010-27123
|
|
|
Tau S422
|
AP422
|
WB, IHC
|
人、小鼠
|
小鼠/IgG1 κ
|
Tau pS422
|
1.0 mg/mL
|
-
|
012-27683
|
|
|
Tau
异构体
|
2N-Tau
|
2C2
|
WB, IHC
|
人
|
大鼠/IgM κ
|
Tau(74-103 a.a.)
|
1.0 mg/mL
|
017-27351
|
013-27353
|
|
3R-Tau
|
2A1-1F4
|
WB, IP
|
人
|
大鼠/IgG2b λ
|
Tau(267-274, 306-313a.a.)
|
1.0-1.1 mg/mL
|
-
|
016-26581
|
|
|
4R-Tau
|
3E8-1A6
|
WB, IP
|
人
|
小鼠/IgG1 κ
|
Tau(273-291a.a.)
|
1.0-1.1 mg/mL
|
019-26593
|
013-26591
|
|
*应用
WB=Western blot,IP=免疫沉淀,IHC=免疫组织化学,ICC=免疫细胞化学,ELISA=酶联免疫吸附试验
◆Total Tau抗体
|
识别小鼠、大鼠和人的所有Tau
|
||||||
|
产品编号
|
产品名称
|
产品等级
|
产品规格
|
|||
|
017-26893
|
抗人/小鼠/大鼠Tau,大鼠单克隆抗体(RTM38) | 免疫化学用 |
50 μL
|
|||
|
抗体信息
|
||||||
|
抗原名称
|
Tau
|
应用*
|
WB, IHC, ICC
|
亚型
|
IgG2a?κ
|
■免疫组织染色
野生型小鼠脑
![]() <数据提供>
同志社大学生命医科学部
医学生命系统神经病理学 宫坂老师
|
|
抗原信息
|
小鼠Tau 重组蛋白
|
物种交叉性
|
人、小鼠、
大鼠
|
标记
|
无标记
|
|
|
抗原別名
|
-
|
免疫动物
|
大鼠
|
克隆编号
|
RTM38
|
|
|
详细信息
|
本产品是一种识别人、小鼠、大鼠Tau的大鼠单克隆抗体。无关磷酸化修饰和亚型,可
识别所有Tau,也可用作轴突标志物。
|
|||||
|
参考文献
|
1) Kubo, A., et al. : J. Comp. Neurol., 527(5), 985 (2018).
|
|||||
|
特异性识别人Tau
|
||||||
|
产品编号
|
产品名称
|
产品等级
|
产品规格
|
|||
|
015-26953
|
抗人Tau,大鼠单克隆抗体(RTM49) | 免疫化学用 |
50 μL
|
|||
|
抗体信息
|
||||||
|
抗原名称
|
Tau
|
应用*
|
WB, IHC, ICC
|
亚型
|
IgG1?κ
|
■免疫组织染色
人Tau表达小鼠
![]() <数据提供>
同志社大学生命医科学部
医学生命系统神经病理学 宫坂老师
|
|
抗原信息
|
人Tau全长重组蛋白
|
物种交叉性
|
人
|
标记
|
无标记
|
|
|
抗原別名
|
-
|
免疫动物
|
大鼠
|
克隆编号
|
RTM49
|
|
|
详细信息
|
本产品是识别人Tau的大鼠单克隆抗体。无关磷酸化修饰和亚型,可识别所有Tau。
|
|||||
|
参考文献
|
1) Kubo, A., et al. : J. Comp. Neurol., 527(5), 985 (2018).
|
|||||
|
特异性识别小鼠Tau
|
||||||
|
产品编号
|
产品名称
|
产品等级
|
产品规格
|
|||
|
012-26963
|
抗鼠Tau,大鼠单克隆抗体(RTM47)
|
免疫化学用
|
50 μL
|
|||
|
抗体信息
|
||||||
|
抗原名称
|
Tau
|
应用*
|
WB, IHC, ICC
|
亚型
|
IgG2b?κ
|
■免疫组织染色
野生型小鼠脑
![]() <数据提供>
同志社大学生命医科学部
医学生命系统神经病理学 宫坂老师
|
|
抗原信息
|
小鼠 Tau 全长重组蛋白
|
物种交叉性
|
小鼠
|
标记
|
无标记
|
|
|
抗原別名
|
-
|
免疫动物
|
大鼠
|
克隆编号
|
RTM47
|
|
|
详细信息
|
本产品是识别小鼠Tau的大鼠单克隆抗体。无关磷酸化修饰和亚型,可识别所有Tau,也
可用作轴突标记物。
|
|||||
|
参考文献
|
1) Kubo, A., et al. : J. Comp. Neurol., 527(5), 985 (2018).
|
|||||
◆ 磷酸化Tau抗体
|
识别磷酸化Tau T181
|
||||||
|
产品编号
|
产品名称
|
产品等级
|
产品规格
|
|||
|
016-26601
|
抗磷酸化Tau T181,大鼠单克隆抗体(2E2-A6) | 免疫化学用 |
50 μL
|
|||
|
抗体信息
|
||||||
|
抗原名称
|
磷酸化 Tau T181
|
应用*
|
WB, IHC
|
亚型
|
IgG2b?κ
|
■免疫组织染色
阿尔茨海默病患者的脑切片
![]() <数据提供>
同志社大学生命医科学部
医学生命系统神经病理学 宫坂老师
|
|
抗原信息
|
合成肽
(人磷酸化Tau T181,171-191a.a. 领域同源肽)
|
物种交叉性
|
人
|
标记
|
无标记
|
|
|
抗原別名
|
-
|
免疫动物
|
大鼠
|
克隆编号
|
2E2-A6
|
|
|
详细信息
|
本产品是特异性识别第181位苏氨酸磷酸化Tau的抗体。
|
|||||
|
参考文献
|
-
|
|||||
|
识别磷酸化Tau S199
|
||||||
|
产品编号
|
产品名称
|
产品等级
|
产品规格
|
|||
|
013-26611
|
抗磷酸化Tau S199,大鼠单克隆抗体(5B8-1E2) | 免疫化学用 |
50 μL
|
|||
|
抗体信息
|
||||||
|
抗原名称
|
磷酸化Tau S199
|
应用*
|
WB, IHC
|
亚型
|
IgG2a?κ
|
■免疫组织染色
阿尔茨海默病患者的脑切片
![]() <数据提供>
同志社大学生命医科学部
医学生命系统神经病理学 宫坂老师
|
|
抗原信息
|
合成肽
(人磷酸化Tau S199的同源肽)
|
物种交叉性
|
人
|
标记
|
无标记
|
|
|
抗原別名
|
-
|
免疫动物
|
大鼠
|
克隆编号
|
5B8-1E2
|
|
|
详细信息
|
本产品是可特异性识别第199位丝氨酸(S199)磷酸化Tau的抗体。
|
|||||
|
参考文献
|
-
|
|||||
|
可识别磷酸化Tau S262
|
|||||||
|
产品编号
|
产品名称
|
产品等级
|
产品规格
|
||||
|
010-27123
|
抗磷酸化Tau S262,大鼠单克隆抗体(TIP1-35)
|
免疫化学用
|
50 μL
|
||||
|
抗体信息
|
|||||||
|
抗原名称
|
Tau pS262
|
应用*
|
WB, ICC, ELISA
|
亚型
|
IgG1
|
-
|
|
|
抗原信息
|
-
|
物种交叉性
|
人, 猴
|
标记
|
无标记
|
||
|
抗原別名
|
-
|
免疫动物
|
大鼠
|
克隆编号
|
TIP1-35
|
||
|
详细信息
|
本产品是可特异性识别第262位丝氨酸磷酸化Tau的大鼠单克隆抗体。
|
||||||
|
参考文献
|
-
|
||||||
|
可识别磷酸化Tau S422
|
||||||
|
产品编号
|
产品名称
|
产品等级
|
产品规格
|
|||
|
012-27683
|
抗磷酸化Tau S422,小鼠单克隆抗体(AP422)
|
免疫化学用
|
50 μL
|
|||
|
抗体信息
|
||||||
|
抗原名称
|
Tau pS422
|
应用*
|
WB, IHC
|
亚型
|
IgG1?κ
|
■免疫组织染色
阿尔茨海默病患者的脑切片
![]() <数据提供>
东京都医学综合研究所 长谷川老师
|
|
抗原信息
|
CGG+S422 磷酸化人 Tau 417-427 a.a.(CGGIDMVDpSPQLAT)
|
物种交叉性
|
人,小鼠
|
标记
|
无标记
|
|
|
抗原別名
|
-
|
免疫动物
|
小鼠
|
克隆编号
|
AP422
|
|
|
详细信息
|
本产品是可识别磷酸化Tau S422的小鼠单克隆抗体。
|
|||||
|
参考文献
|
1)Hasegawa, M., et al. : FEBS Lett., 384(1), 25 (1996).
2)Goedert, M., et al. : FEBS Lett., 409(1), 57 (1997).
3)Buée-Scherrer, V., et al. : FEBS Lett., 515(1), 151 (2002).
4)Delobel, P., et al.: J. Neurochem., 83(2), 412 (2002).
5)Bellucci, A., et al. : Am. J. Pathol., 165(5), 1643 (2004).
6)Sylvie, L. C., et al. : PNAS, 103(25), 9673 (2006).
7)Schindowski, K., et al. : Am. J. Pathol., 169(2), 599 (2006).
8)Audouard, E., et al. : Am. J. Pathol., 186(10), 2709 (2016).
|
|||||
◆Tau异构体抗体
|
仅识别六种Tau异构体中的2N4R-Tau和2N3R-Tau
|
||||||
|
产品编号
|
产品名称
|
产品等级
|
产品规格
|
|||
|
017-27351
|
抗2N-Tau,大鼠单克隆抗体(2C2)
|
免疫化学用
|
10 μL
|
|||
|
013-27353
|
50 μL
|
|||||
|
抗体信息
|
||||||
|
抗原名称
|
2N-Tau
|
适应性试验
|
WB, IHC
|
亚型
|
IgM?κ
|
■免疫组织染色
阿尔茨海默病患者的脑切片
![]() <数据提供>
同志社大学生命医科学部
医学生命系统神经病理学 宫坂老师
|
|
抗原信息
|
人Tau全长重组蛋白
|
物种交叉性
|
人
|
标记
|
无标记
|
|
|
抗原別名
|
-
|
免疫动物
|
大鼠
|
克隆编号
|
2C2
|
|
|
详细信息
|
本产品是一种仅与6种 Tau 异构体(0N3R、1N4R、2N3R、0N4R、1N4R 和2N4R)
中的2种(2N3R和 2N4R)反应的大鼠单克隆抗体。
|
|||||
|
参考文献
|
-
|
|||||
|
仅识别6种Tau异构体中的2N3、1N3R和R0N3R-Tau
|
||||||
|
产品编号
|
产品名称
|
产品等级
|
产品规格
|
|||
|
016-26581
|
抗3R-Tau,大鼠单克隆抗体(2A1-1F4)
|
免疫化学用
|
50 μL
|
|||
|
抗体情報
|
||||||
|
抗原名称
|
3R-Tau
|
适应性试验
|
WB, IP
|
亚型
|
IgG2b?λ
|
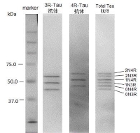
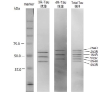
■Western blot
人 Tau 重组混合物
(2N4R、2N3R、1N4R、1N3R、0N4R、0N3R-Tau)
![]() <数据提供>
同志社大学生命医科学部
医学生命系统神经病理学 宫坂老师
|
|
抗原信息
|
合成肽
(人Tau 的 267-274、306-313aa 领域)
|
物种交叉性
|
人
|
标记
|
无标记
|
|
|
抗原別名
|
-
|
免疫动物
|
大鼠
|
克隆编号
|
2A1-1F4
|
|
|
详细信息
|
Tau分为微管结合域数量为3的3R-Tau和数量为4的4R-Tau两种类型。
本产品是可特异性识别3R-Tau的抗体。
|
|||||
|
参考文献
|
-
|
|||||
|
仅识别6种Tau异构体中的2N4R、1N4R和0N4R-Tau
|
||||||
|
产品编号
|
产品名称
|
产品等级
|
产品规格
|
|||
|
019-26593
|
抗4R-Tau,单克隆抗体(3E8-1A6)
|
免疫化学用
|
10 μL
|
|||
|
013-26591
|
50 μL
|
|||||
|
抗体信息
|
||||||
|
抗原名称
|
4R-Tau
|
适应性试验
|
WB, IP
|
亚型
|
IgG1?κ
|
■Western blot
人 Tau 重组混合物
(2N4R、2N3R、1N4R、1N3R、0N4R、0N3R-Tau)
![]() <数据提供>
同志社大学生命医科学部
医学生命系统神经病理学 宫坂老师
|
|
抗原信息
|
合成肽
(人Tau 的 273-291aa 领域)
|
物种交叉性
|
人
|
标记
|
未标记
|
|
|
抗原別名
|
-
|
免疫动物
|
小鼠
|
克隆编号
|
3E8-1A6
|
|
|
详细信息
|
Tau分为微管结合域数量为3的3R-Tau和数量为4的4R-Tau两种类型。
本产品是可特异性识别4R-Tau的抗体。
|
|||||
|
参考文献
|
-
|
|||||
产品列表
Total Tau抗体
| 产品编号 | 产品名称 | 产品规格 | 产品等级 |
| 017-26893 | Anti Human/Mouse/Rat Tau, Rat Monoclonal Antibody(RTM38) 抗人/小鼠/大鼠Tau,大鼠单克隆抗体(RTM38) |
50 μL | 免疫化学用 |
| 015-26953 | Anti Human Tau, Rat Monoclonal Antibody(RTM49) 抗人Tau,大鼠单克隆抗体(RTM49) |
50 μL | 免疫化学用 |
| 012-26963 | Anti Mouse Tau, Rat Monoclonal Antibody(RTM47) 抗鼠Tau,大鼠单克隆抗体(RTM47) |
50 μL | 免疫化学用 |
磷酸化Tau抗体
| 产品编号 | 产品名称 | 产品规格 | 产品等级 |
| 016-26601 | Anti Phosphorylated Tau T181, Rat Monoclonal Antibody (2E2-A6) 抗磷酸化Tau T181,大鼠单克隆抗体(2E2-A6) |
50 μL | 免疫化学用 |
| 013-26611 | Anti Phosphorylated Tau S199, Rat Monoclonal Antibody(5B8-1E2) 抗磷酸化Tau S199,大鼠单克隆抗体(5B8-1E2) |
50 μL | 免疫化学用 |
| 010-27123 | Anti Phosphorylated Tau S262, Rat Monoclonal Antibody(TIP1-35) 抗磷酸化Tau S262,大鼠单克隆抗体(TIP1-35) |
50 μL | 免疫化学用 |
| 012-27683 | Anti Phosphorylated Tau S422, Monoclonal Antibody(AP422) 抗磷酸化Tau S422,小鼠单克隆抗体(AP422) |
50 μL | 免疫化学用 |
Tau 异构体抗体
| 产品编号 | 产品名称 | 产品规格 | 产品等级 |
| 017-27351 | Anti 2N-Tau, Rat Monoclonal Antibody(2C2) 抗2N-Tau,大鼠单克隆抗体(2C2) |
10 μL | 免疫化学用 |
| 013-27353 | Anti 2N-Tau, Rat Monoclonal Antibody(2C2) 抗2N-Tau,大鼠单克隆抗体(2C2) |
50 μL | 免疫化学用 |
| 016-26581 | Anti 3R-Tau, Rat Monoclonal Antibody(2A1-1F4) 抗3R-Tau,大鼠单克隆抗体(2A1-1F4) |
50 μL | 免疫化学用 |
| 019-26593 | Anti 4R-Tau, Monoclonal Antibody(3E8-1A6) 抗4R-Tau,单克隆抗体(3E8-1A6) |
10 μL | 免疫化学用 |
| 013-26591 | Anti 4R-Tau, Monoclonal Antibody(3E8-1A6) 抗4R-Tau,单克隆抗体(3E8-1A6) |
50 μL | 免疫化学用 |
相关产品
Tau ELISA试剂盒
| 产品编号 | 产品名称 | 产品规格 | 产品等级 |
| 298-81701 | Phosphorylated Tau T181 ELISA Kit Wako 磷酸化Tau T181 ELISA试剂盒 |
96次用 | 免疫化学用 |
| 296-80401 | Tau ELISA Kit Wako Tau ELISA试剂盒 |
96次用 | 免疫化学用 |
Tau凝集抑制剂
| 产品编号 | 产品名称 | 产品规格 | 产品等级 |
| 119-01141 | KT-430 | 10mg | 细胞生物学用 |
※ 本页面产品仅供研究用,研究以外不可使用。





























