
微信扫一扫
关注公众号
产品分类
- 酶及底物 (524)
- 免疫学 (2665)
- 标准品/对照品 (131)
- 生物制药与疫苗 (384)
- 分离纯化 (37)
- 生化试剂 (28758)
- 分子生物学 (21)
- WAKO (13617)
- Jackson ImmunoResearch (2012)
- Ludger 糖链分析 (87)
- Lumiprobe活性染料 (3)
- abcam (39111)
- Merck-Sigma (44529)
- MP Bio (11015)
- 试剂 (9728)
- 健康原料 (24)
- 新型材料 (345)
- 仪器分析 (1025)
- 合作品牌 (45348)
- Aalto
- AAT Bioquest
- AbD
- Acros
- Active Motif
- Advanced Targeting Systems
- Ambion
- AnaSpec
- AssayDesign
- Avanti
- Bangs Laboratories
- BioPorto
- BioSource
- bioworld
- cayman
- Chemicon
- Clontech
- CST
- DiFco
- Epigentek
- hampton
- Himedia
- Hyclone
- ldmsapp
- Innova Biosciences
- Invent
- J.T.BAKER
- KALEN
- KPL
- lifespan
- MRC
- Phytotech
- Pierce
- Prozyme
- Qiagen
- R&D
- Roche
- Santa Cruz
- Serotec
- Vector
- Worthington
- 其他分类 (5)
服务保证
西宝风采
公司新闻
支原体清除试剂:解决细胞培养中支原体污染问题的利器
发布时间:2024-11-27 09:19 | 点击次数:659
支原体(Mycoplasma)是已知最小的原核细胞型微生物,因其无细胞壁结构、形态多变和体型微小,其大小介于0.1至0.3微米之间,能够轻松通过滤菌设备。支原体可穿透孔径为0.22微米的除菌滤膜,这一特性使其成为细胞培养中难以彻底解决的污染源。截至目前,科学界已记录了超过100种支原体种类。
支原体清除是细胞培养中一个重要的步骤,因为支原体污染会严重影响细胞实验的可靠性和结果。首先,支原体能够干扰细胞的正常生理功能,影响细胞的生长、分裂和代谢过程,从而导致实验结果的不准确。其次,支原体污染还可能引发细胞凋亡或坏死,进一步影响实验数据的可靠性。此外,支原体还可能携带并传播其他病原体,增加实验过程中的风险。
针对支原体污染,支原体清除试剂提供了一种高效解决方案。该试剂包含两类主要药物:一种可抑制支原体蛋白质合成,另一种可阻断支原体DNA合成。通过连续7至14天的处理,该试剂能够彻底杀灭并清除支原体,其效果持久可靠。
|
产品名称
|
规格
|
浓度
|
|
支原体清除试剂I
|
100mL
|
100×
|
|
支原体清除试剂II
|
100mL
|
100×
|
经测试,该清除试剂对包括293T、HeLa、CHO-K1、LX2、SP2/0、ST、Vero、HA-VSMC、Jurkat及Min-6等在内的超过20种细胞系均表现出显著的支原体清除效果。同时,试剂对细胞的正常生理功能未产生明显负面影响,未观察到显著毒副作用,确保细胞培养的安全性与稳定性。
1、试剂保存与稀释
将支原体清除试剂I和II分装成小规格,置于4℃冰箱保存。如短期内未使用,剩余试剂需存放于-20℃冷冻以保持药效。使用时,按照1:100的体积比例,将试剂加入到完全培养基中。
2、细胞培养准备
以T25细胞培养瓶为例,接种50-100万个细胞,加入4-6 mL含支原体清除试剂的全新完全培养基。
3、培养基更换与细胞传代
每2-3天更换一次含支原体清除试剂的全新完全培养基。进行细胞传代时,需先离心,取适量细胞转移到新的T25细胞培养瓶中,并添加含支原体清除试剂的新鲜完全培养基。
4、支原体检测与处理周期
经过7-10天处理后,使用支原体检测试剂盒检测支原体清除情况。如仍有残留,可继续处理1-2个周期后再检测。为确保彻底清除支原体,建议在1个月后进行复检,以排除潜在的污染风险。

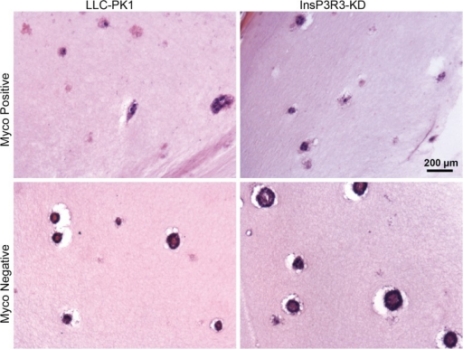
支原体污染对生物工程 3D 肾囊肿形成能力的影响
保存方法
-20 ℃保存,有效期3年。
注意事项
不建议将高浓度的试剂I和II混合后保存,以免影响药效的稳定性。
参考文献:
1、 Teresa M DesRochers,et al. The effects of mycoplasma contamination upon the ability to form bioengineered 3D kidney cysts. PLoS One. 2015 Mar 20;10(3):e0120097.


















