
微信扫一扫
关注公众号
葡聚糖凝胶 G-25(层析材料G-25)
¥429 - 1408
产品分类
- 酶及底物 (520)
- 免疫学 (3082)
- 标准品/对照品 (536)
- 生物制药与疫苗 (604)
- 分离纯化 (37)
- 生化试剂 (28456)
- 分子生物学 (21)
- WAKO (13398)
- Jackson ImmunoResearch (2012)
- Ludger 糖链分析 (86)
- Lumiprobe活性染料 (3)
- abcam (39035)
- Merck-Sigma (43815)
- MP Bio (10900)
- 试剂 (9600)
- 健康原料 (24)
- 新型材料 (344)
- 仪器分析 (1023)
- 合作品牌 (44374)
- Aalto
- AAT Bioquest
- AbD
- Active Motif
- Advanced Targeting Systems
- Ambion
- AnaSpec
- AssayDesign
- Avanti
- Bangs Laboratories
- BioPorto
- BioSource
- bioworld
- cayman
- Chemicon
- Clontech
- CST
- DiFco
- Epigentek
- hampton
- Himedia
- Hyclone
- ldmsapp
- Innova Biosciences
- Invent
- J.T.BAKER
- KPL
- lifespan
- MRC
- Phytotech
- Pierce
- Prozyme
- Qiagen
- R&D
- Roche
- Santa Cruz
- Vector
- Worthington
- 其他分类 (9)
服务保证
西宝风采
公司新闻
琼脂糖层析产品:从科研到生产的全方位解决方案
发布时间:2024-11-20 09:40 | 点击次数:441
琼脂糖层析是一种常用的生物分离技术,广泛应用于生物化学、分子生物学等领域。它利用琼脂糖凝胶的多孔性,根据分子大小、形状等差异来分离生物大分子,如稀溶液的浓缩、不稳定蛋白质的纯化、从纯化的分子中除去残余的污染物等。
琼脂糖凝胶的特性
亲水性强: 琼脂糖凝胶具有良好的亲水性,可以提供一个温和的水相环境,避免蛋白质变性。
多孔性: 琼脂糖凝胶具有不同的孔径大小,可以根据需要选择合适的凝胶分离不同大小的分子。
化学稳定性好: 琼脂糖凝胶在多种pH和温度下都比较稳定,适合用于多种实验条件。
非特异性吸附低: 琼脂糖凝胶对生物大分子的非特异性吸附较低,有利于提高分离纯度。
琼脂糖层析的类型
亲和层析: 根据生物分子之间的特异性相互作用进行分离,如抗原-抗体、酶-底物等。
离子交换层析: 根据分子表面电荷的差异进行分离,利用离子交换剂与蛋白质带电基团之间的静电作用。
凝胶过滤层析: 根据分子大小分离,大分子先被洗脱下来,小分子后被洗脱下来。
琼脂糖层析步骤
样品处理:将待分离的样品进行适当的预处理,如裂解、离心等,以便于后续的层析操作。
上样:将处理后的样品小心地加入到凝胶的上样孔中。
电泳:在一定的电压下进行电泳,使样品中的不同组分根据其分子大小和电荷差异而分开。
染色和观察:电泳结束后,可以通过染色(如使用溴化乙锭)来观察和分析分离的结果。
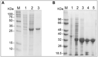
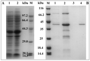
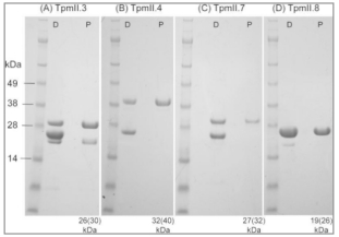
琼脂糖层析实验一、

小麦苍白杆菌 5bvl 铬酸盐抗性决定子中转录调节因子 ChrB 的鉴定和表征
琼脂糖层析实验二、

来自解纤维热酸菌 11B 的嗜热内切葡聚糖酶 AcCel12B 的克隆、表达和表征.
琼脂糖层析实验三、

人类 IgE 对曼氏血吸虫原肌球蛋白不同剪接变体的反应:与免疫的关联
|
分类
|
层析介质
|
介绍
|
|
亲和层析填料
|
Mab A 亲和层析介质
|
Mab A作为新一代抗体纯化介质,采用改良的超刚性琼脂糖凝胶基质,并偶联了高耐碱突变的Protein A。
|
|
Mab A新一代抗体纯化介质
|
Mab A不仅以改良的高刚性琼脂糖凝胶为基质,还偶联了高耐碱Protein A。其特点在于高度交联的琼脂糖凝胶基质。
|
|
|
Protein A 4FF 亲和介质
|
Protein G是一种链球菌胞壁蛋白,能与IgG的Fc区域结合,且比Protein A具有更广泛的结合能力,包括多克隆IgG及人IgG。其血清蛋白结合水平低,纯度高,配基脱落少,还能与某些抗体的片段结合。
|
|
|
Protein G 4FF 亲和介质
|
Protein G亲和介质适用于抗体(单抗和多抗)的分离纯化,通过一步亲和层析即可获得高纯度抗体。
|
|
|
Ni-IDA 6FF His标签蛋白纯化介质
|
Ni亲和层析介质采用高流速琼脂糖基质,结合IDA、NTA、TED配基与Ni2+离子,因螯合方式差异,对不同蛋白纯化具有选择性,广泛用于His标签蛋白纯化。
|
|
|
Ni-NTA His标签蛋白纯化介质
|
||
|
Ni-TED 6FF His标签蛋白纯化
|
Ni-TED FF介质耐受EDTA和DTT,简化清洗再生步骤,无需脱镍,直接NaOH清洗。
|
|
|
IMAC 6FF固定化金属离子层析介质
|
IMAC利用分子对金属离子的亲和性,通过蛋白质侧链与金属离子相互作用实现分离纯化,适用于提纯蛋白质和多肽,尤其是His标记蛋白,金属离子选择多样。
|
|
|
Chelating FF
|
||
|
GST 标签蛋白纯化介质
|
GST亲和介质专用于GST标签蛋白及其依赖蛋白的分离纯化。
|
|
|
Protein A/G Agarose
|
Protein A/G Agarose融合了Protein A和G的抗体结合域,具有广泛的抗体结合能力和高亲和力,适用于多种IgG亚型及其他免疫球蛋白的纯化。该产品以高度交联琼脂糖为基质,载量高,流速快,性能优越。
|
|
|
Benzamidine 4FF(HS)
|
Benzamidine 4FF是专为丝氨酸蛋白酶设计的亲和层析介质,以琼脂糖为基质,具有高化学稳定性和生物相容性,能有效纯化多种丝氨酸蛋白酶,具有流速快、非特异吸附低、分离效果佳的特点。
|
|
|
MBP FF标签蛋纯化介质
|
MBP标签蛋白亲和层析介质能促进融合蛋白的正确折叠,提高溶解性,尤其是真核蛋白,是兼具纯化和促溶功能的标签蛋白。
|
|
|
Endotoxin Rem 4FFⅠ 内毒素纯化亲和层析介质
|
内毒素是蛋白研究中的常见污染物,对人类有害,能引发多种不良症状,因此检测和去除内毒素至关重要。亲和层析因高度选择性成为去除内毒素的理想方法。
|
|
|
Endotoxin Rem 4FFⅡ 内毒素纯化亲和层析介质
|
||
|
Streptactin 4FF 标签蛋白纯化介质
|
Strep-Tag II是一个小标签,不影响蛋白质的结构和功能,纯化条件温和,单步纯化纯度高,优于His标签,且蛋白两端均可融合,因此得到广泛应用。
|
|
|
Streptactin HP 标签蛋白纯化层析介质
|
||
|
Plasmid HP 质粒纯化层析介质
|
嗜硫亲和利用电子供受体间的作用力分离纯化生物分子,作用力在高盐环境下增强,低盐环境下减弱。
|
|
|
Virus 亲和层析介质
|
Virus亲和层析介质以超高刚性微球为基质,偶联硫酸葡聚糖,具有高流速、低反压、高化学稳定性,适用于病毒纯化。
|
|
|
离子交换填料
|
强阴离子交换层析介质
|
离子交换层析(IEX)是目前在生物分子分离纯化中应用最为广泛的方法之一,依赖于正负电荷间的相互作用,利用不同生物分子在特定条件下带有电荷的性质和多少的差异来进行分离。
|
|
Q 40 强阴离子交换层析介质
|
||
|
SP/Q Big Beads
|
离子交换层析(IEX)是蛋白质分离纯化的常用方法,依据生物分子表面电荷差异进行分离。琼脂糖介质具有高流速和高稳定性,适用于重组蛋白、抗体等多种生物分子的浓缩粗纯。
|
|
|
DEAE 40 弱阴离子交换层析介质
|
||
|
DEAE 弱阴离子交换层析介质
|
||
|
强阳离子交换层析介质
|
||
|
DEAE A50 葡聚糖离子交换介质
|
离子交换层析是目前在蛋白质分离纯化中应用最广泛的方法之一,是根据其表面电荷(类型、数量及分布)的差异分离不同生物分子的过程。
|
|
|
疏水层析填料
|
Phenyl 6FF 疏水层析介质
|
疏水层析是利用蛋白质在高盐条件下吸附在疏水层析介质的疏水基团上,降低盐浓度时,不同蛋白按疏水性从弱到强依次被洗脱,从而达到分离纯化的目的。疏水层析操作条件温和、分辨率高,是生物大分子分离纯化最常用的方法之一。
|
|
Octyl 4FF辛疏水层析介质
|
||
|
Butyl 4FF 疏水层析介质
|
||
|
复合模式填料
|
Shell 700 复合模式层析介质
|
由配基核心和惰性壳层组成;
|
|
Shell 400 复合模式层析介质
|
||
|
AdMix Ⅰ40 复合模式强阴离子层析介质
|
离子交换层析(IEX)是目前在生物分子分离纯化中应用最为广泛的方法之一,依赖于正负电荷间的相互作用,利用不同生物分子在特定条件下带有电荷的性质和多少的差异来进行分离。
|
|
|
AdMix Ⅱ 40 复合模式强阴离子层析介质
|
AdMix II介质与目标分子主要通过离子(强阴离子)、氢键和疏水作用交互。流穿模式下,抗体通过,杂质如HCP、DNA被吸附。其复合离子配基提高了盐耐受性,简化了高盐样品处理。AdMix II疏水性弱,易清洗再生,无需有机相。经100次清洗后,杂质结合力仍达80%。
|
|
|
CaSphere-CHT 1 羟基磷灰石层析介质
|
以其独特的选择性、分辨率和分离蛋白质的能力而闻名,是由钙和磷酸盐的化学结合形成的。CaSphere-CHT 1羟基磷灰石层析介质是目前最具有特征的混合模式层析介质之一,该产品兼具离子交换和金属亲和力,其配基和介质骨架都是由同一种材料来源同时形成,为工艺开发提供了独特的选择性和分辨率,其高选择性可以分离电泳或其他层析模式难以分离的蛋白。
|
|
|
凝胶过滤填料
|
Sup-Dextran75 凝胶过滤层析介质
|
Sup-Dextran75系列是一种制备级凝胶过滤层析介质,含葡聚糖和琼脂糖复合基质。
|
|
Sup-Dextran 150
|
Sup-Dextran 150系列是一种制备级凝胶过滤层析介质,含葡聚糖和琼脂糖复合基质。该基质结 合了交联葡聚糖的优异凝胶过滤层析特性和高度交联琼脂糖的物理和化学稳定性,从而可制备具 有卓越选择性和高分辨率的分离介质,流速快且反压低,此外,其低非特异性吸附可提高生物材料 的回收率,此系列产品为单克隆抗体的分离、精纯和产品配制提供了极高的分辨率。
|
|
|
Sup-Dextran200 凝胶过滤层析介质
|
Sup-Dextran 200系列是一种制备级凝胶过滤层析介质,含葡聚糖和琼脂糖复合基质。
|
琼脂糖层析的注意事项
胶、缓冲液的选择,流速和样品量的控制均对分离效果至关重要。需根据待分离分子的分子量选择合适孔径大小的凝胶,同时考虑缓冲液的pH和离子强度等因素;流速过快会影响分离效果,而流速过慢则延长分离时间;此外,样品量过大可能导致柱子堵塞,同样影响分离效果。
参考文献:
1. Rita Branco, et al. Identification and characterization of the transcriptional regulator ChrB in the chromate resistance determinant of Ochrobactrum tritici 5bvl1. PLoS One. 2013 Nov 4;8(11):e77987.
2. Junling Wang, et al. Cloning, Expression, and Characterization of a Thermophilic Endoglucanase, AcCel12B from Acidothermus cellulolyticus 11B. Int J Mol Sci. 2015 Oct 22;16(10):25080-95.
3. Sukrit Silas, et al. Human IgE responses to different splice variants of Schistosoma mansoni tropomyosin: associations with immunity. Int J Parasitol. 2014 May;44(6):381-90.


















