
微信扫一扫
关注公众号
α-突触核蛋白(α-Synuclein)抗体(包被), EKN0510A
¥5190
产品分类
- 酶及底物 (520)
- 免疫学 (3082)
- 标准品/对照品 (536)
- 生物制药与疫苗 (604)
- 分离纯化 (37)
- 生化试剂 (28456)
- 分子生物学 (21)
- WAKO (13398)
- Jackson ImmunoResearch (2012)
- Ludger 糖链分析 (86)
- Lumiprobe活性染料 (3)
- abcam (39035)
- Merck-Sigma (43815)
- MP Bio (10900)
- 试剂 (9600)
- 健康原料 (24)
- 新型材料 (344)
- 仪器分析 (1023)
- 合作品牌 (44374)
- Aalto
- AAT Bioquest
- AbD
- Active Motif
- Advanced Targeting Systems
- Ambion
- AnaSpec
- AssayDesign
- Avanti
- Bangs Laboratories
- BioPorto
- BioSource
- bioworld
- cayman
- Chemicon
- Clontech
- CST
- DiFco
- Epigentek
- hampton
- Himedia
- Hyclone
- ldmsapp
- Innova Biosciences
- Invent
- J.T.BAKER
- KPL
- lifespan
- MRC
- Phytotech
- Pierce
- Prozyme
- Qiagen
- R&D
- Roche
- Santa Cruz
- Vector
- Worthington
- 其他分类 (9)
服务保证
西宝风采
公司新闻
路易小体标志物 抗磷酸化α-突触核蛋白抗体
发布时间:2024-11-13 09:17 | 点击次数:289
路易小体标志物抗磷酸化α-突触核蛋白抗体
◆抗磷酸化α-突触核蛋白,单克隆抗体(pSyn#64)
在帕金森、路易体痴呆症(DLB)等神经细胞中特异性表达的路易小体,含有在丝氨酸129残基处特异性磷酸化的α-突触核蛋白1)2)。
本产品不与正常的α-突触核蛋白反应,只识别累积的磷酸化α-突触核蛋白,因此可用于路易小体相关的病理研究。
◆产品特性
|
组成
|
含血清培养基上清,0.05 % Sodium Azide
|
|
克隆号
|
pSyn#64
|
|
亚型
|
小鼠IgG
|
|
抗原
|
丝氨酸129磷酸化的人α-突触核蛋白124-134序列
|
|
储存条件
|
-20℃
|
|
实用稀释倍率
|
免疫组织染色(1:1,000~10,000)
Western blot(1:1,000~10,000) |
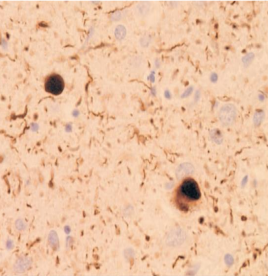
使用示例(免疫组织染色)
![]() |
左图为使用本产品对路易体痴呆症的大脑切片进行免疫组织染色的图像。
发生病变的路易小体被特异性染色。
数据提供:东京大学研究生院医学系研究科 岩坪老师
|
◆生物素标记抗磷酸化 α-突触核蛋白抗体(pSyn#64)
本产品为上述抗磷酸化α-突触核蛋白,单克隆抗体(pSyn#64)(产品编号:015-25191)进行生物素标记后的抗体。
特点
● 已进行标记,无需使用二抗
● 低背景
● 已完成免疫染色的使用评估
产品特性
|
标记物
|
生物素
|
|
抗原
|
合成肽(S129磷酸化的人α-突触核蛋白124-134序列)
|
|
缓冲液
|
PBS,0.05 %NaN3
|
|
亚型
|
小鼠IgG
|
|
适应性
|
免疫组织染色(1:200~5,000)
|
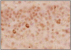
使用示例(免疫组织染色)
![]() 抗磷酸化α-突触核蛋白,单克隆抗体(pSyn#64),生物素结合 |
![]() 抗磷酸化α-突触核蛋白,单克隆抗体(pSyn#64)(产品编号:015-25191)+生物素标记二抗 |
■ 实验条件
样品:将凝集的α-突触核蛋白脑内注射到 样品:6个月大的野生型小鼠纹状体 切片:50 µm厚 振动切片 染色方法:ABC法+DAB染色 抗体浓度:1/1,000 |
结果显示,与使用二抗时相比,背景被抑制且能观察到清晰的染色。
数据提供:东京大学研究生院医学系研究科 桑原老师、岩坪老师
产品列表
| 产品编号 | 产品名称 | 产品规格 | 产品等级 |
| 015-25191 | Anti Phosphorylated α-Synuclein, Monoclonal Antibody (pSyn#64) 抗磷酸化α-突触核蛋白,单克隆抗体(pSyn#64) |
50 μl | 免疫化学用 |
| 010-26481 | Anti Phosphorylated α-Synuclein, Monoclonal Antibody(pSyn#64), Biotin-conjugated 抗磷酸化α-突触核蛋白单克隆抗体 (pSyn#64),生物素 |
100 μl | 免疫化学用 |
※ 本页面产品仅供研究用,研究以外不可使用。





















