
微信扫一扫
关注公众号
辣根过氧化物酶标记亲和纯化山羊抗小鼠IgG(H+L)
¥289
产品分类
- 酶及底物 (520)
- 免疫学 (3087)
- 标准品/对照品 (536)
- 生物制药与疫苗 (604)
- 分离纯化 (37)
- 生化试剂 (28748)
- 分子生物学 (21)
- WAKO (13608)
- Jackson ImmunoResearch (2012)
- Ludger 糖链分析 (87)
- Lumiprobe活性染料 (3)
- abcam (39100)
- Merck-Sigma (44401)
- MP Bio (11006)
- 试剂 (9706)
- 健康原料 (24)
- 新型材料 (345)
- 仪器分析 (1025)
- 合作品牌 (44464)
- Aalto
- AAT Bioquest
- AbD
- Active Motif
- Advanced Targeting Systems
- Ambion
- AnaSpec
- AssayDesign
- Avanti
- Bangs Laboratories
- BioPorto
- BioSource
- bioworld
- cayman
- Chemicon
- Clontech
- CST
- DiFco
- Epigentek
- hampton
- Himedia
- Hyclone
- ldmsapp
- Innova Biosciences
- Invent
- J.T.BAKER
- KPL
- lifespan
- MRC
- Phytotech
- Pierce
- Prozyme
- Qiagen
- R&D
- Roche
- Santa Cruz
- Vector
- Worthington
- 其他分类 (9)
服务保证
西宝风采
公司新闻
抗Iba1,山羊多克隆抗体 小胶质细胞标记
发布时间:2024-10-17 08:56 | 点击次数:799
抗Iba1,山羊多克隆抗体小胶质细胞标记
Iba1是一种约17 kDa的蛋白,在神经系统小胶质细胞中特异性表达,经常被用作小胶质细胞标记物。 本产品是识别Iba1的山羊多克隆抗体。
◆应用实例 1:免疫组织染色(荧光染色)
| ■ Iba1 | ■ Aβ | ■ Merge |
![]() |
![]() |
![]() |
数据提供:国立长寿医疗研究中心榊原老师
样品:阿尔茨海默病模型小鼠(APPNL-G-F 小鼠)大脑新皮层冰冻切片
一抗:抗Iba1,山羊多克隆抗体(1:1,000)
二抗:Alexa Fluor488标记抗山羊IgG
Aβ染色:0.001 % FSB溶液(淀粉样蛋白染色荧光探针)

数据提供:创价大学理工学部中嶋老师
样本:大鼠(左)以及小鼠(右)大脑皮质冰冻切片
一抗:抗Iba1,山羊多克隆抗体(1:250)
二抗:Alexa Fluor488标记抗山羊IgG
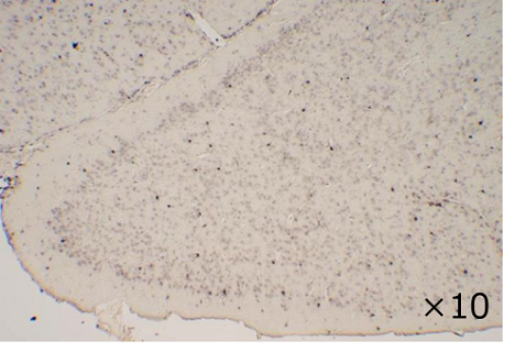
◆应用实例 2:免疫组织染色(DAB染色)
| 富士胶片和光产品:011-27991 | 其他公司产品A |
![]() |
![]() |
![]() |
![]() |
样品:小鼠脑额叶石蜡切片
一抗:抗Iba1,山羊(1:1,000)
二抗:抗山羊IgG,生物素标记
抗原激活:10 mM柠檬酸盐缓冲液(pH 6),90°C,处理10 min
◆应用实例3:蛋白印迹

数据提供:创价大学理工学部中嶋老师
样品:大鼠原代培养小胶质细胞 10 μg
大鼠原代培养神经元 10 μg
大鼠原代培养星形胶质细胞 10 μg
大鼠大脑皮层 100 μg
一抗:抗Iba1,山羊(1:1,000)
二抗:抗山羊IgG,HRP标记
◆免疫荧光(IF)实验效果
| 011-27991 Anti Iba1, Goat (本产品) | A公司 山羊源Anti Iba1抗体 | |
| Rat brain | ![]() |
![]() |
| Mouse brain | ![]() |
![]() |
◆免疫荧光(IF)实验效果
|
抗原
|
合成肽(Iba1 C端序列相同)
|
|
储存缓冲液
|
TBS
|
|
亚型
|
山羊IgG
|
|
物种交叉性
|
大鼠、小鼠
|
|
抗体浓度
|
0.5-0.6 mg/mL
|
|
应用
|
免疫组化(冰冻切片)1:250-1,000
免疫组化(石蜡切片)1:250-1,000 免疫印迹 1:1,000 |
产品列表
| 产品编号 | 产品名称 | 产品规格 | 产品等级 |
| 011-27991 | Anti Iba1, Goat 抗Iba1,山羊源多克隆抗体 |
100 μL | 免疫化学用 |
相关产品
| 产品编号 | 产品名称 | 产品规格 | 产品等级 |
| 019-19741 | Anti Iba1, Rabbit (for Immunocytochemistry) 小胶质细胞/巨噬细胞特异性蛋白抗体(免疫组化) |
50 μg | 免疫化学用 |
| 013-27691 | Anti Iba1, Rabbit(for Paraffin Section) 小胶质细胞/巨噬细胞特异性蛋白兔源抗体(石蜡切片) |
50 μg | 免疫化学用 |
| 016-26461 | Anti Iba1, Rabbit, Biotin-conjugated 小胶质细胞/巨噬细胞特异性蛋白抗体(结合生物素) |
100 μL | 免疫化学用 |
| 013-26471 | Anti Iba1, Rabbit, Red Fluorochrome(635)-conjugated 小胶质细胞/巨噬细胞特异性蛋白抗体(结合红色荧光素635) |
100 μL | 免疫化学用 |
| 016-20001 | Anti Iba1,Rabbit (for Western Blotting) 小胶质细胞/巨噬细胞特异性蛋白抗体(免疫印迹) |
50 μg | 免疫化学用 |
| 012-26723 | Anti Iba1, Monoclonal Antibody(NCNP24) 抗Iba1,单克隆抗体(NCNP24)(鼠源) |
10 μL | 免疫化学用 |
| 017-27591 | Anti Human Iba1, Monoclonal Antibody(NCNP27) 抗人 Iba1,单抗(NCNP27) |
10 μL | 免疫化学用 |
※ 本页面产品仅供研究用,研究以外不可使用。





























