
微信扫一扫
关注公众号
免疫组化通用试剂盒(生物素/链亲合素-ALP系统,针对兔来源一抗)
询价
产品分类
- 酶及底物 (502)
- 免疫学 (3039)
- 标准品/对照品 (528)
- 生物制药与疫苗 (603)
- 分离纯化 (37)
- 生化试剂 (28197)
- 分子生物学 (21)
- WAKO (13228)
- Jackson ImmunoResearch (2012)
- Ludger 糖链分析 (86)
- Lumiprobe活性染料 (3)
- abcam (39004)
- Merck-Sigma (43240)
- MP Bio (10701)
- 试剂 (9464)
- 健康原料 (24)
- 新型材料 (344)
- 仪器分析 (1023)
- 合作品牌 (44303)
- Aalto
- AAT Bioquest
- AbD
- Active Motif
- Advanced Targeting Systems
- Ambion
- AnaSpec
- AssayDesign
- Avanti
- Bangs Laboratories
- BioPorto
- BioSource
- bioworld
- cayman
- Chemicon
- Clontech
- CST
- DiFco
- Epigentek
- hampton
- Himedia
- Hyclone
- ldmsapp
- Innova Biosciences
- Invent
- J.T.BAKER
- KPL
- lifespan
- MRC
- Phytotech
- Pierce
- Prozyme
- Qiagen
- R&D
- Roche
- Santa Cruz
- Vector
- Worthington
- 其他分类 (9)
服务保证
西宝风采
公司新闻
TRAP/ALP染色试剂盒
发布时间:2024-06-18 09:08 | 点击次数:253
TRAP/ALP染色试剂盒破骨/成骨双重染色
正常的骨代谢是通过成骨细胞生长与破骨细胞建立骨吸收而维持平衡。成骨细胞的标记酶是碱性磷酸酶(ALP)。破骨细胞的标记酶是抗酒石酸酸性磷酸酶(TRAP)。这两种标记酶在组织切片或者培养细胞过程中,被作为成骨细胞、破骨细胞存在的标记指标。
本试剂盒可通过骨组织切片以及培养细胞中TRAP/ALP酶活性进行组织染色。通过观察成骨细胞和破骨细胞的染色成像,可检查细胞的分化状态和骨组织的分布情况。
◆特点
● 使用时混合3种溶液,可制备TRAP酶活性染色的显色底物溶液。
● ALP酶活性染色使用的是预混物溶液,操作简便。
● TRAP的活性部位呈红紫色,ALP的活性部位呈蓝色(茶褐色),可双重染色。
● 适用于骨组织切片(脱钙GMA树脂包埋切片)以及培养细胞。
◆试剂盒组成
● 酒石酸溶液(×10)·······3 mL
● 酸性磷酸酶底物液A······30 mL
● 酸性磷酸酶底物液B······0.3 mL
● 核染色试剂··············10 mL
● 碱性磷酸酶预混物溶液····30 mL
<备注>本产品可对应培养细胞包装24孔板-5次,96孔板-6次。
骨组织载玻片(一个载玻片约使用500 μL)包装为60个。
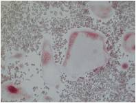
◆培养细胞TRAP/ALP酶活性染色案例
![]() |
● 用TRAP染色剂使破骨细胞呈红色
● 用ALP染色剂使成骨细胞的细胞膜、软骨细胞和细胞间膜呈茶褐色
● 用核染色试剂使各种细胞核呈蓝绿色。
|
![]() |
![]() |
| RAW264细胞的TRAP活性染色 | MC 3T3-E1细胞ALP活性染色 |
◆产品列表
| 产品编号 | 产品名称 | 产品规格 | 产品等级 |
| 294-67001 | TRAP/ALP Stain Kit TRAP/ALP双重染色试剂盒 |
60次 | 病理研究用 |
◆相关产品
| 产品编号 | 产品名称 | 包装 |
| PMC-AK20-COS | Alkaline Phosphatase Staining Kit 碱性磷酸酶染色试剂盒 |
1 kit |
| PMC-AK04F-COS | TRAP Staining Kit 抗酒石酸酸性磷酸酶染色试剂盒(TRAP) |
10 plate |
※ 本页面产品仅供研究用,研究以外不可使用。





















