
微信扫一扫
关注公众号
糖尿病研究用试剂及ELISA KIT 13788987962
询价
产品分类
- 酶及底物 (520)
- 免疫学 (3087)
- 标准品/对照品 (536)
- 生物制药与疫苗 (604)
- 分离纯化 (37)
- 生化试剂 (28748)
- 分子生物学 (21)
- WAKO (13608)
- Jackson ImmunoResearch (2012)
- Ludger 糖链分析 (87)
- Lumiprobe活性染料 (3)
- abcam (39100)
- Merck-Sigma (44401)
- MP Bio (11006)
- 试剂 (9706)
- 健康原料 (24)
- 新型材料 (345)
- 仪器分析 (1025)
- 合作品牌 (44464)
- Aalto
- AAT Bioquest
- AbD
- Active Motif
- Advanced Targeting Systems
- Ambion
- AnaSpec
- AssayDesign
- Avanti
- Bangs Laboratories
- BioPorto
- BioSource
- bioworld
- cayman
- Chemicon
- Clontech
- CST
- DiFco
- Epigentek
- hampton
- Himedia
- Hyclone
- ldmsapp
- Innova Biosciences
- Invent
- J.T.BAKER
- KPL
- lifespan
- MRC
- Phytotech
- Pierce
- Prozyme
- Qiagen
- R&D
- Roche
- Santa Cruz
- Vector
- Worthington
- 其他分类 (9)
服务保证
西宝风采
公司新闻
自噬研究用抗体
发布时间:2023-09-25 08:55 | 点击次数:560
自噬研究用抗体
◆兔抗大鼠 LC3
LC3 是芽殖酵母自噬相关蛋白 Atg8 的哺乳类类似物。LC3 在细胞质上合成后,切除C末端形成 LC3-I。LC3-I 与 E1 样泛素连接酶 Atg7、E2 样泛素连接酶 Atg3 携带的磷脂结合形成 LC3-II。LC3-II 结合形成自噬膜型。因此,LC3 被用做自噬的标志物之一。本产品可同时识别 LC3-I、LC3-II。
● 形状:抗血清。不含防腐剂、稳定剂
● 抗原:合成肽,与大鼠LC3B的氨基酸序列 5-18 相当
● 特异性:与人、大鼠、小鼠 LC3B 反应
实际稀释倍率:免疫细胞化学 1:200~500(共聚焦显微镜)
Western blotting 1:500~5,000
● 推荐稀释缓冲液:1% BSA in 20 mmol/L Tris-HCl(pH 7.5), 0.15 mol/L NaCl,0.1% NaN3
※ 背景较高情况下,请使用加了 0.1% Tween20 的稀释缓冲液。
小鼠 MEF 提取液 Western blotting
|
用 SDS-PAGE 分离 MEF(小鼠胎儿成纤维细胞)提取液,转至 PVDF 膜后,将本品作为第一抗体,
进行 Western blotting。
Atg7+???野生型,Atg7-???Atg7 缺失型
一抗:本品(1:5,000)、室温、反应1小时
二抗:HRP 标记 山羊抗兔 IgG(1:20,000),室温、反应1小时
(数据提供:顺天堂大学医学部生化学 第一讲座 上野隆)
|
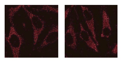
HeLa 细胞的荧光染色
|
样品:经多聚甲醛固定和毛地黄皂苷处理的 HeLa 细胞
封闭液:1% BSA和含1%正常羊血清的 20 mmol/LTris-HCl(pH7.5),0.15 mol/L NaCl,0.1% NaN3、30℃、反应1小时
一抗:本品(1:500)、30℃、反应1小时二抗:Cy3 标记羊抗兔 IgG(1:2,000)、30℃、反应1小时 (数据提供:顺天堂大学大学院医学研究科研基地ー吉川美加) |
|
产品编号
|
产品名称
|
规格
|
容量
|
|
010-22841
|
Anti Rat LC3, Rabbit
|
免疫组化用
|
50 μL
|
◆兔抗 SQSTM1/A170/p62
SQSTM1/A170/p62 是泛素结合蛋白,氧化应激反应依赖性表达。SQSTM1/A170/p62 的异常化,会导致骨代谢异常、肥胖、2型糖尿病等。近来有报道称 SQSTM1/A170/p62 可与自噬相关因子 LC3 结合,因此在诱导泛素/蛋白酶体系到自噬系的蛋白质分解方面备受关注。
● 形状:大肠杆菌蛋白质吸收后,2倍稀释的抗血清。防腐剂含 0.1% 的 NaN3。
● 抗原:小鼠 SQSTM1(A170)的氨基酸序列 254-333 重组体(N末端含 T7tag,C末端含 His tag)
● 特异性:与大小鼠 SQSTM1(A170/ZIP)反应;与人 SQSTM1(A170/ZIP)反应极弱。
● 实际稀释倍率:Western blotting 1:200;
免疫组织染色 1:1,000
免疫荧光染色 1:1,000
小鼠 MEF 提取液的 Western blotting
|
固定:4%多聚甲醛
包埋:石蜡包埋
染色:亲和素-生物素- 过氧化物酶素法
一抗:本品 1:1,000
二抗:生物素标记抗兔 IgG
(数据提供:鸟取大学 中曾一裕)
|
|
产品编号
|
产品名称
|
规格
|
容量
|
|
018-22141
|
Anti SQSTM1/A170/p62, Rabbit
SQSTM1/A170/p62抗体
|
免疫组化用
|
100 μL
|
◆兔抗人Atg7
Atg7 是自噬反应中形成自噬体所必须的基因之一。能与泛素样蛋白质 Atg8 和 Atg12 结合的 E1 样泛素连接酶。
● 形状:抗血清。不含防腐剂和稳定剂
● 抗原:与人 Atg7 的氨基酸序列 556-571 相当的合成肽
● 特异性:与人、大鼠、小鼠的 Atg7 反应
● 实际稀释倍率:Western blotting 1:1,000~5,000
● 推荐稀释缓冲液:1% BSA in 20mmol/L Tris-HCl(pH 7.5), 0.15mol/L NaCl, 0.1% NaN3
※ 背景较高的情况下,请使用加入 0.1% Tween20 的稀释缓冲液。
|
用 SDS-PAGE 分离 MEF(小鼠胎儿成纤维细胞)的提取液,转至 PVDF 膜后,以本品为第一抗体,
进行 Western blotting。
Atg7+, Atg3+ ???野生型、Atg7- ???Atg7 缺失型、 Atg3- ???Atg3 缺失型一抗:本品(1:1,000)、室温、反应1小时 二抗:HRP 标记山羊抗兔 IgG(1:20,000)、室温、反应1小时 (数据提供:顺天堂大学医学部生化学第一讲座 上野隆) |
|
产品编号
|
产品名称
|
规格
|
容量
|
|
013-22831
|
Anti Human Atg7, Rabbit
|
免疫组化用
|
50 μL
|
◆相关产品
自噬活性化因子
|
产品编号
|
产品名称
|
规格/制造商
|
容量
|
|
185-01721
|
Resveratrol
白藜芦醇
|
生化学用
|
100 mg
|
|
181-01723
|
500 mg
|
自噬抑制剂
|
产品编号
|
产品名称
|
规格/制造商
|
容量
|
|
038-17971
|
Chloroquine diphosphate
磷酸氯喹
|
生化学用
|
5 g
|
|
036-17972
|
25 g
|
||
|
054-08021
|
E 64d
|
细胞生物学用
|
1 mg
|
|
050-08023
|
5 mg
|
||
|
129-04861
|
LY-294002
|
生化学用
|
5 g
|
|
125-04863
|
10 g
|
||
|
123-04864
|
25 g
|
||
|
230-02341
|
(+)-Wortmannin
渥曼青霉素
|
细胞生物学用
|
2 mg
|
|
236-02343
|
10 mg
|
参考文献
1). Ishii, T., et al.: Biochem. Biophys. Res. Commun., 226, 456(1996).
2). Ishii, T., et al.: J. Biol. Chem., 275, 16023(2000).
3). Komatsu, M., et al.: Cell, 131, 1149(2007).
4). Nakaso, K., et al.: Brain Res. Mol. Brain Res., 69, 155(1999).
5). Jiang,P.,et al.: Methods,75,13(2015).
| 产品编号 | 产品名称 | 产品规格 | 产品等级 |
| 010-22841 | Anti Rat LC3, Rabbit | 50 μL | 免疫组化用 |
| 018-22141 | Anti SQSTM1/A170/p62, Rabbit | 100 μL | 免疫组化用 |
| 013-22831 | Anti Human Atg7, Rabbit | 50 μL | 免疫组化用 |


















