
微信扫一扫
关注公众号
产品分类
- 酶及底物 (524)
- 免疫学 (2708)
- 标准品/对照品 (131)
- 生物制药与疫苗 (384)
- 分离纯化 (37)
- 生化试剂 (28758)
- 分子生物学 (21)
- WAKO (13617)
- Jackson ImmunoResearch (2012)
- Ludger 糖链分析 (87)
- Lumiprobe活性染料 (3)
- abcam (39111)
- Merck-Sigma (44529)
- MP Bio (11015)
- 试剂 (9728)
- 健康原料 (24)
- 新型材料 (345)
- 仪器分析 (1025)
- 合作品牌 (45348)
- Aalto
- AAT Bioquest
- AbD
- Acros
- Active Motif
- Advanced Targeting Systems
- Ambion
- AnaSpec
- AssayDesign
- Avanti
- Bangs Laboratories
- BioPorto
- BioSource
- bioworld
- cayman
- Chemicon
- Clontech
- CST
- DiFco
- Epigentek
- hampton
- Himedia
- Hyclone
- ldmsapp
- Innova Biosciences
- Invent
- J.T.BAKER
- KALEN
- KPL
- lifespan
- MRC
- Phytotech
- Pierce
- Prozyme
- Qiagen
- R&D
- Roche
- Santa Cruz
- Serotec
- Vector
- Worthington
- 其他分类 (5)
服务保证
西宝风采
公司新闻
POLARIC(TM) 活细胞荧光变色溶剂
发布时间:2023-09-01 09:18 | 点击次数:254
POLARIC™ 活细胞荧光变色溶剂
新型荧光染料
◆背景
POLARIC是活细胞独特的变色荧光溶剂。POLARIC可根据细胞器微环境的疏水性变化,发射光谱改变显著。
◆特点和优点
● 细胞毒性极低。
● 在460-520 nm的激发波长可达到最小细胞损伤。
● 抗褪色荧光。
● 根据细胞器的微环境的疏水性/亲水性,发射光谱改变显著。
● 在460-520 nm的激发波长可达到最小细胞损伤。
● 抗褪色荧光。
● 根据细胞器的微环境的疏水性/亲水性,发射光谱改变显著。
◆实验流程
1.用3 μL乙醇溶解红色染料沉淀,并将染料溶液转移到10 mL培养基(染色溶液)中。 染色溶液可在4℃保存2周,避光保存。
2.将细胞培养在玻璃底皿(非液晶玻璃)上。
3.去除培养皿中的培养基,用PBS冲洗,加入等体积的预热染色溶液。
4.细胞在5%CO2,在37℃条件下孵育2小时10分钟。 染色条件应针对细胞进行优化。
5.染色后用培养基洗涤细胞培养物3次。
6.使用荧光显微镜在Ex 460 nm 520 nm和Em 520 nm 700 nm下观察染色的细胞。
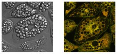
◆应用
1、使用案例
根据不同细胞器“着色变化”不同。
2、使用案例
3、使用案例
线粒体:橙色
细胞膜:绿色
内质网:黄色
细胞膜:绿色
内质网:黄色
4、使用案例
<大鼠心肌细胞>大鼠心肌细胞>
可使用不同的颜色染色心肌细胞(橙色)和非心肌细胞。染色后,心肌细胞继续跳动。
染色结果比较
5、使用案例
<大鼠骨髓单核细胞>大鼠骨髓单核细胞>
在大鼠骨髓单核细胞-破骨细胞分化培养过程中,染色观察大鼠骨髓单核细胞向破骨细胞分化的过程。
| 产品编号 | 产品名称 | 产品规格 |
| PMC-AK12-COS | POLARICTM PLT-500c6 | 5 tube |


















