
微信扫一扫
关注公众号
标准蛋白质溶液(BSA,100mg/ml),ECL0647A
¥140
产品分类
- 酶及底物 (520)
- 免疫学 (3087)
- 标准品/对照品 (536)
- 生物制药与疫苗 (604)
- 分离纯化 (37)
- 生化试剂 (28748)
- 分子生物学 (21)
- WAKO (13608)
- Jackson ImmunoResearch (2012)
- Ludger 糖链分析 (87)
- Lumiprobe活性染料 (3)
- abcam (39100)
- Merck-Sigma (44401)
- MP Bio (11006)
- 试剂 (9706)
- 健康原料 (24)
- 新型材料 (345)
- 仪器分析 (1025)
- 合作品牌 (44464)
- Aalto
- AAT Bioquest
- AbD
- Active Motif
- Advanced Targeting Systems
- Ambion
- AnaSpec
- AssayDesign
- Avanti
- Bangs Laboratories
- BioPorto
- BioSource
- bioworld
- cayman
- Chemicon
- Clontech
- CST
- DiFco
- Epigentek
- hampton
- Himedia
- Hyclone
- ldmsapp
- Innova Biosciences
- Invent
- J.T.BAKER
- KPL
- lifespan
- MRC
- Phytotech
- Pierce
- Prozyme
- Qiagen
- R&D
- Roche
- Santa Cruz
- Vector
- Worthington
- 其他分类 (9)
服务保证
西宝风采
公司新闻
蛋白质工厂Protein Factory产品
发布时间:2021-08-10 10:53 | 点击次数:1326
西宝生物提供蛋白质工厂产品,蛋白生产简单、快速,从μL到吨级,满足你从研发到规模化生产的需求,产品广泛应用在体外诊断(IVD)、生命科学研发、生物医药、医美、酶制剂等领域,咨询电话:400-021-8158。
独立开发的DNA到蛋白质技术可以生产高通量、低成本、高活性的蛋白质。目前的蛋白质工厂1.0产品的成本效益是市场上其他无细胞蛋白质合成产品的1000-600000倍。目标是逐步取代细胞表达蛋白质系统,实现蛋白质生产的真正工业化。
传统生物蛋白质生产:
通过大肠杆菌、酵母、哺乳动物细胞等表达系统
培养时间长:3天~1个月
规模化生产:工艺复杂、需要防染菌、发酵罐要求高、大肠杆菌含内毒素,形成包涵体/蛋
培养时间长:3天~1个月
规模化生产:工艺复杂、需要防染菌、发酵罐要求高、大肠杆菌含内毒素,形成包涵体/蛋
![]() |
蛋白质工厂Protein Factory
现在,蛋白质可以由DNA模板一步合成! 在室温下,无需任何特殊设备,很容易将反应规模从μL扩大到吨。 |
如何制备蛋白?
DNA + H20 = Protein
- 蛋白生产简单:无需细胞,无需培养基,无需考虑细胞染菌问题,无需特殊设备
(仅需一个敞口容器,如一次性杯子或烧杯或孔板) - 蛋白生产快速:3h实现蛋白生产,比传统细胞培养时间缩短10-100倍
- 可表达蛋白类型:各种物种来源、各种类型蛋白
- 蛋白产量:1g/L
- 蛋白活性:与天然蛋白结构一致
- 生产规模:uL~吨级
- 技术契合度高:如高通量筛选
无需ddH2O,日常饮用水即可
活性强体现在:制备的蛋白荧光更明亮
活性强体现在:本案所含DpnI核酸酶的优越活性
活性强体现在:本案所含Pfu DNA聚合酶的优越活性
蛋白制备举例
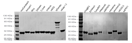
案例1:荧光蛋白
![]() SDS-PAGE 不同激发光下的荧光成像 |
![]() 自然光下染色的纯化蛋白 |
![]() SDS-PAGE 考马斯蓝染色(纯化) |
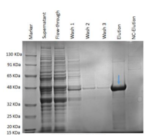
案例2:可溶性蛋白质
![]() 荧光成像 |
![]() 考马斯蓝染色法 |
![]() 蛋白质产量_XC5305F-GFP_3h & 6h |
|
1、实现细胞中难表达蛋白的生产
2、超短时间完成蛋白生产,缩短至3h |
应用1:IVD企业,人类抗原
1、革新产品生产工艺
2、给予企业成本大幅下降
3、提升产品稳定性
2、给予企业成本大幅下降
3、提升产品稳定性
![]() |
![]() |
![]() |
| 反应3小时和6h后的蛋白质产量 | 荧光成像(KM320-eGFP) | 考马斯蓝染色法(Elution) |
每个样品的蛋白质产量![]() |
在IgG系列的表达和纯化试验中,检测 了IgG1、IgG2、IgG3、IgG4和PC的产量分别是117.49,161.35,106.42,128.71和183.45μg/ml;它们在5h的产量分别是170.50,251.77,164.64,192.56和225.54μg/ml。
|
考马斯蓝染色法(用His磁珠或蛋白A珠纯化)
应用2:CRO企业应用
1、解决在细胞毒性蛋白制造方面的困境;
2、帮助CRO企业的服务更优秀:服务周期,解决方案,服务成功率。
2、帮助CRO企业的服务更优秀:服务周期,解决方案,服务成功率。
应用3:药物生产企业应用
1、帮助合成细胞系统困难蛋白;
2、早期临床前开发。
2、早期临床前开发。
产品系列多样化,可根据您的需求选择合适的产品套装,请来电咨询:400-021-8158。
![]() |
![]() |
![]() |
| FAST Cup (12) | FAST Bar (18) 简单实用 | FAST Liter (10) 升级反应 |
![]() |
![]() |
![]() |
| FAST COLOR (1x10 mL RXN + 5xDNA) 适用于基础研发教学 | FAST (1x10mL) 更快速、更简便,可以 生产更具活性蛋白质 | FAST (5x10mL) 更快速、更简便,可以 生产更具活性蛋白质 |
![]() |
![]() |
![]() |
| FAST (12x10 mL) 更快速、更简便,可以 生产更具活性蛋白质 | STANDARD (1x10 mL) 标准配置,适应多种需求,应用广泛 | STANDARD (12x10 mL) 标准配置,适应多种需求,应用广泛 |
![]() |
![]() |
![]() |
| High yield mini (6) 6x1 mL 6PROTEIN FACTORY | High yield (1) 1x10 mL 1PROTEIN FACTORY | High yield (5x10 mL) 蛋白质产量和活性更高, 活性更好 |
![]() |
![]() |
![]() |
| NMR mini (6x1 mL) 同位素标记,活性更高 更易纯化 | NMRdirect (1) 1X10 mL 1PROTEIN FACTORY | NMRdirect (1) 1X10 mL 1PROTEIN FACTORY |
![]() |
![]() |
![]() |
| NMR (5x10 mL) 同位素标记,活性更高 更易纯化 | NMRdirect(5) 5X10 mL | Array(12) 12X10 mL |















































